MRI 한번만 봐주세요. 심각한건가요?

성별

여성

나이대

30대

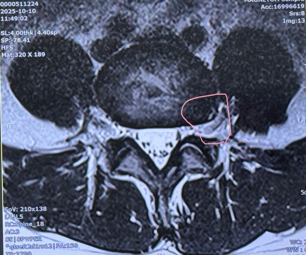
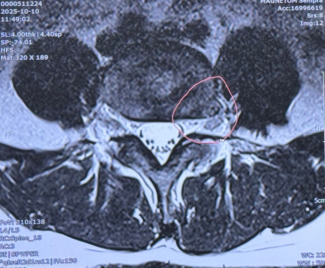
의사쌤 말로는 4-5번 디스크가 터졌다고 하나 수술할 정도나 걱정할 정도는 아니고 그냥 쉬면 된다 하는데 생각보다 방사통이 심합니다..

4번째 사진에서 윗쪽 첫번째 뼈 부근도 혹시 터진건가요? 의사쌤이 따로 말씀은 안하셨는데 궁금해서요.

왼쪽만 이랬는데 이래저래 오른쪽까지 지금 허벅지 앞쪽 뒷쪽 엉덩이 종아리까지 찌릿 하네요..

신경주사 맞을때 정말 너무 아팠는지 그 후유증으로 다리가 더 찌릿한 것 같아요.

극외측디스크파열이라고 주변에서 그러던데 그게 희귀하다고 하는데 심각한건가요?

외측디스크파열이라고 의사쌤이 말하진 않았습니다.

찾아보니 꼭 수술해야한다고 하는데 혹시 MRI판독 부탁드랴도 될까요?

데드리프트 들게한 트쌤도 너무 밉고 그냥 다 속상하고 삶의 질이 떨어지고 바늘로 쑤시는 듯한 통증에 crps 이런 병은 아닌가 걱정도 됩니다.

정말 심각한 수준은 아닌건가요?

그냥 치료 없이 누워만 있으면 된다네요..

사진은 급한대로 이렇게밖에 없어 죄송합니다.

  • 1번 째 사진
  • 2번 째 사진
  • 3번 째 사진
  • 4번 째 사진
  • 5번 째 사진

아직 답변이 없어요.