아하
  • 토픽

  • 스파링

  • 잉크

  • 미션


의료상담

빼어난멧돼지102

빼어난멧돼지102

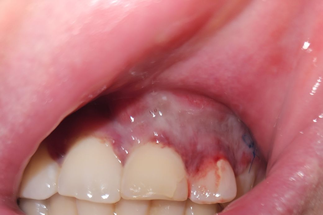
치근단 절단 수술 후 잇몸 회색으로 변색

금요일에 잇몸 낭종 때문에 시경치료, 낭종 제거, 치근단 절단, 뼈이식 수술 받았습니다.

잇몸 색이 회색인데 정상인 건지 궁금합니다.

  • 1번 째 사진

4개의 답변이 있어요!

  • 김지훈 치과의사

    김지훈 치과의사

    메가

    안녕하세요. 김지훈 치과의사입니다.

    아직 수술 후 얼마되지 않았기 때문에 지켜보셔야 합니다. 시간이 지나면서 본래 색으로 돌아오는 경우가 많습니다.

  • 안녕하세요. 김철진 치과의사입니다.

    잇몸이 치유되면서 자연스럽게 나타나는 현상입니다. 약을 잘드시고 염증이 생기지 않도록 해주시는게 좋습니다.

  • 안녕하세요. 최석민 치과의사입니다.

    잇몸치유과정에 있으며 회색으로 비쳐보이는 것은 잇몸속의 혈관이니 너무 걱정하지 않으셔도 됩니다

  • 안녕하세요. 안상우 치과의사입니다.

    사진으로만 봤을 경우에는 수술한 부위에 실밥이 있는 것으로 보입니다.

    대부분 잇몸은 수술 후에 2주 정도가 지나면 아물게 되며 자세한 확인을 위해서 치과에서 진료를 받아 보세요