아하
  • 토픽

  • 스파링

  • 잉크

  • 미션


의료상담

내내존중받는대추나무

내내존중받는대추나무

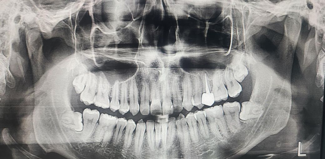
재신경치료 후 1년지난 크라운 예민감

재신경치료한지 1년 지났고

통증은 치료 한 직후부터 지금까지 호전과 악화없이 그대로입니다

음식 먹을땐 문제가 없고 일부로 톡톡 건드리거나 치아끼리 의도적으로 교합면 부딪히기, 손으로 옆으로 밀어보기등을 하면 통증까진 아니고 여드름을 건드리는정도의 느낌이 납니다

추가로 크라운 양옆으로 치실을 처음 넣는 순간에 조이는 느낌이 있고요 이정도 증상일때 재식술이나 치근단 절제술없이 그냥 사용해도 될만한 정도일까요? 치과 4곳을 갔는데 충치는 없다고 하셨습니다

  • 1번 째 사진

1개의 답변이 있어요!

  • 최석민 치과의사

    최석민 치과의사

    강원도 원주의료원

    안녕하세요. 최석민 치과의사입니다.

    치근단 엑스레이 사진을 찍어봐야 정확하겠으나 현재 치아 뿌리 끝 염증이 아예 없는 깨끗한 상태는 아닙니다. 물론 신경치료 자체는 잘된 것 같지만요. 그로인해 그런 증상도 있는거고요. 만약 염증이 퍼지고 있는 상태라면 치료를 해주는게 좋습니다. 1~2개월 정도 지켜보고, 염증이 확산되는지 보고 치료를 결정하는 것도 한가지 방법이지요.