잇몸에 흰게 보이고 치아와 잇몸에 통증이 있어요
며칠전에 치아에 음식물이 껴서 치아 틈이 강제로 벌어진듯한 통증이 느껴져 치실로 무리하게 빼려다 오히려 음식물이 잇몸에 들어간 듯한 느낌이 들었으나 양치 후 찝찝한 느낌이 사라져 그냥 아무렇지 않게 넘겼습니다. 육안으로 봤을 때 치아 틈이 좀 벌어진 것 같아 손으로 물리적인 힘을 가해서 오므려보긴 했습니다.
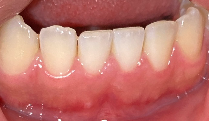
그런데 한 사흘 전 부터 갑자기 치실을 넣었던 치아 틈과 잇몸 , 치아 두개가 아프고 시큰 거리는 느낌이 나서 잇몸을 보니 저렇게 흰 점 같은게 생겨 있었습니다. 언제부터 생겼는지는 잘 모르겠습니다.
제 치아틈에 치실과 치간칫솔이 잘 들어가지 않아
무리하게 치실을 집어넣어 들어간 음식물로 인해 치아 뿌리에 세균이 침투하여 염증이 생기는 경우도 있나요?
충치도 없고 신경치료 받은 적도 없습니다...
다만 앞니 안쪽에 치석이 조금 쌓여 있습니다
어제만 해도 치아 두개만 시큰거리고 아팠는데
이제는 앞니 네개가 시립니다. 찬물 마실 때 시림 증상도 생겼고 잇몸에 흰 점을 건드려보면 딱딱하게 느껴집니다
평상시에도 계속 신경이 쓰이는 통증이며
시큰시큰거리고 치아가 간질간질? 해서 손으로 자꾸 만지게 되네요 ㅠㅠ
혹시 제가 지금 딱 월경 직전이라서 생리전 증후군으로 잇몸이랑 치아가 아플 수도 있나요?
안녕하세요. 정진석 치과의사입니다.
시기상의 문제로 보여집니다. 공교롭게 해당 상황이 생겼을 때, 치아가 아파서 인과관계를 설정하신 것으로 보이는데 보이는 부분은 정상적입니다. 치실 사용만으로는 치아를 벌리거나 할 수 없고 단순히 솜으로 오므린다고 해서도 오므려지지도 않습니다.
아무쪼록 저의 답변이 문제 해결에 작게 나마 도움이 될 수 있기를 기원드립니다. 항상 건강하고, 행복하세요^^
정진석 치과의사 드림
1명 평가안녕하세요. 장인아 치과위생사입니다.
잇몸뼈가 돌출된 부분이 얇은 잇몸에 비쳐서 하얗게 보이는 것입니다..치실로 세균감염은 어렵고 자극이 되지 않도록 주의해서 사용합니다..잇몸질환은 호르몬의 변화(사춘기나 생리, 임신)에 의해 생길수도 있습니다.
도움이 되기를 바랍니다. 건강하세요.
1명 평가안녕하세요. 김철진 치과의사입니다.
사진상으로 보면 염증이거나 그렇진 않고 잇몸뼈가 저부분이 튀어나와서 하얗게 보이는것같습니다. 그리고 치실이나 치간칫솔을 억지로 사용하면 치아나 잇몸을 예민하게 할수잇으니 주의 하세요.
1명 평가

