아하
  • 토픽

  • 스파링

  • 잉크

  • 미션


의료상담

아마도성숙한펭귄

아마도성숙한펭귄

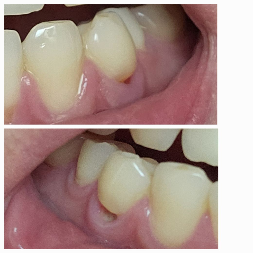
아랫 어금니 잇몸 파임 및 통증 발생 문의드립니다.

안녕하세요

평소 잘때 이를 꽉 힘주고 자는 습관때문인지

사진처럼 작은 어금니 양쪽 잇몸이 내려갔습니다

전부터 내려가긴햇엇는데 최근 심해지더니 씹을때 불편하네요 내일 치과는 방문할거지만 이런경우 어떤치료가 필요할까요?

좌 우 사진

  • 1번 째 사진

6개의 답변이 있어요!

  • 김지훈 치과의사

    김지훈 치과의사

    메가

    치아가 많이 마모되어 있는 것으로 보이며 이 경우에는 레진을 이용하여 치아의 마모된 부위를 채워주는 방식의 치료를 받으시면 됩니다.

  • 현재 잇몸이 많이 파인 것으로 보이며, 이 경우에는 레진으로 메꾸는 치료나, 잇몸을 이식하는 치료가 필요로 됩니다.

    궁금증 해소에 도움이 되시길 바라며, 도움이 되신 경우 '👍 ' 눌러주길 부탁드립니다.

  • 안녕하세요 치과의사 김철진입니다. 치경부 마모증도 잇고 치경부 쪽에 충치도 생긴거 같습니다. 엑스레이 촬영후 치료를 받으셔야될것같습니다.

  • 사진으로 봤을 경우에는 마모증이 생긴 상태에서 내부에 이물질이 남아 있게 되어 충치가 생긴 것으로 보입니다 불편감이 있다면 해당 부위에 충치를 제거하고 간단하게 치과용 재료로 충전을 해 줄 수 있습니다 자세히 확인을 위해서 치과에서 진료를 받아 보는 것을 권유 드립니다

  • 해당 부위를 수복해주는 것이 필요합니다. 지속적으로 해당 부위를 방치하면 더 큰 파절로 이어지거나 마모가 생길 수 있습니다. 또한 시린 증상이 동반될 수 있으므로 해당 부위를 레진 등으로 수복해주면 치아를 보호하는데 도움이 됩니다.

    아무쪼록 저의 답변이 문제 해결에 작게 나마 도움이 될 수 있기를 기원드립니다. 항상 건강하고, 행복하세요^^

    정진석 치과의사 드림

  • 굴곡파절과 치경부마모가 있습니다 이런 경우 치아 목 부위가 얇아지면서 치아가 부러질 수 있기 때문에 해당 부위를 레진 등의 재료로 떼워주게 됩니다 시린 증상이 있다면 더 처치를 바로 해주어야 합니다 만약 신경까지 노출되었다면 신경치료가 필요할 수 있습니다