아하
  • 토픽

  • 스파링

  • 잉크

  • 미션


의료상담

현재도환영받는공주

현재도환영받는공주

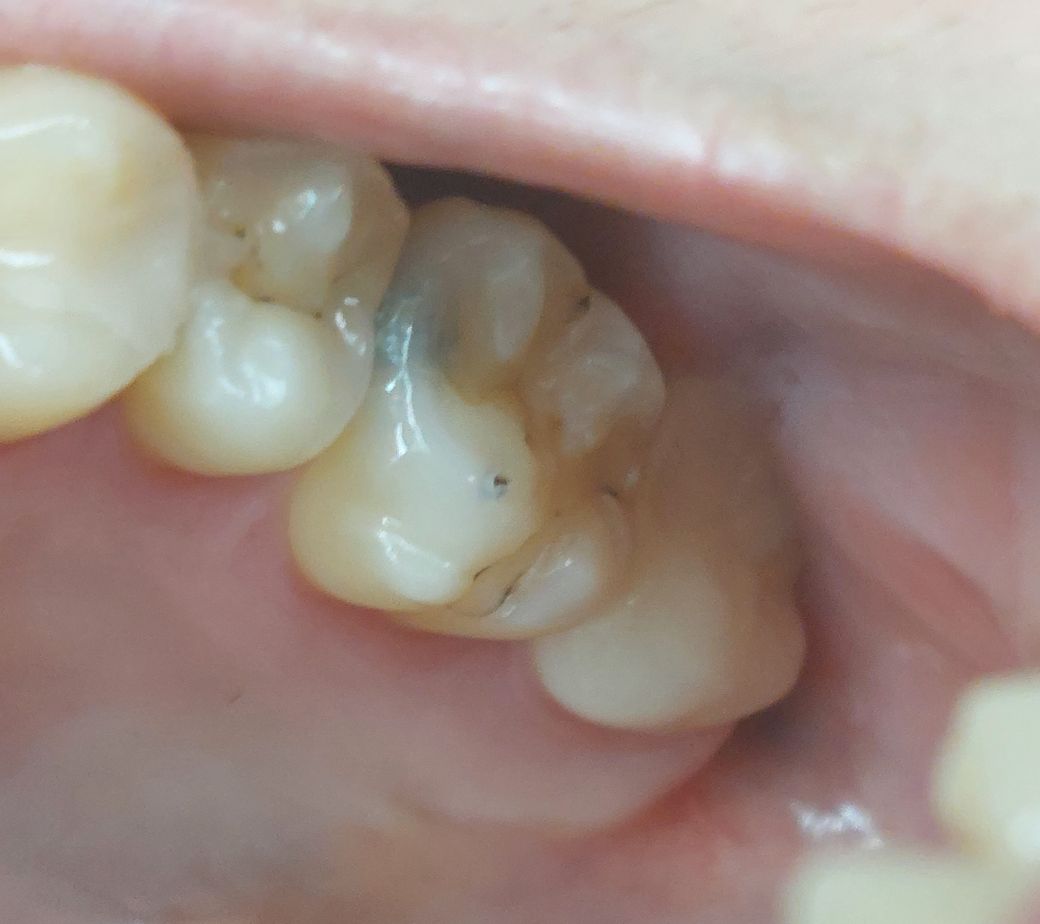
인레이?한 26번 어금니입니다. 인레이 아래, 충치일까요?

인레이였는지 확실하진 않은데, 충치 치료한 상악 (사랑니뺀) 왼쪽 끝에서 두번째 어금니(26번)입니다. 최근 받은 치과 진료에서는 이걸 문제 삼지 않았는데, 오늘 육안으로 확인하니 눈에 띄게 치아가 어두워 질문드려요. 시리리거나 통증은 없습니다. 2차 충치일까요? 치료해야할까요? 필요하다면, 이런 2차 충치는 어떻게 치료하나요?

덧붙여 치아 교합면 볼록한 부분 작은 구멍 역시 충치처럼 보이는데, 치료가 필요해보이는지요..!

  • 1번 째 사진

5개의 답변이 있어요!

  • 최석민 치과의사

    최석민 치과의사

    강원도 원주의료원

    안녕하세요. 최석민 치과의사입니다.

    교합면의 울퉁불퉁한건 교두와 그루브 등의 해부학적 모양을 살려둔 것 같고요. 구멍은 딱히 보이진 않습니다.

    인접면은 이차충치가 의심되긴 합니다.

  • 안녕하세요. 안상우 치과의사입니다.

    사진으로 봤을 때는 충치로 보입니다. 충치라면 충치를 제거하고 치료를 하는 것이 좋을 수 있습니다. 자세한 확인을 위해서 치과에서 진료를 받아보는 것을 권해드립니다.

  • 안녕하세요. 김지훈 치과의사입니다.

    현재 사진만으로 확인하기에는 충치일 가능성이 아주 높습니다. 치과 가서 확인해보셔야 합니다.

  • 안녕하세요. 송우식 치과의사입니다.

    검게 보이는 것이 충치입니다.충치가 꽤 많이 안쪽으로 진행된 상태입니다. 치과에 가서 치료 받아야 합니다.

  • 안녕하세요. 김철진 치과의사입니다.

    사진상으로는 인레이 치료를 한것처럼 보이진 않고 예전에 레진으로 치료를 한거 같습니다.그리고 치아 사이에 까맣게 보이는 부분은 충치가 있는거 같습니다.