아하
  • 토픽

  • 스파링

  • 잉크

  • 미션


의료상담

눈에띄게감미로운냉동삼겹살

눈에띄게감미로운냉동삼겹살

25.05.09

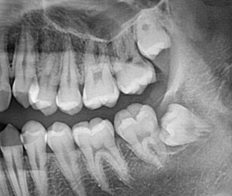
이거 인접면 충치 맞나요? 한 번만 도와주십시오ㅠㅠ

사랑니 발치하러 치과에 갔는데 26번 27번 치아 사이에 인접면 충치가 있다고 하네요,,, 아프거나 시린 적은 한 번도 없었는데 인레이 치료를 해야 한다고 합니다. 과잉진료가 아니라 진짜 충치 맞나요?ㅠㅠ

  • 1번 째 사진

3개의 답변이 있어요!

  • 김지훈 치과의사

    김지훈 치과의사

    메가

    25.05.11

    안녕하세요. 김지훈 치과의사입니다.

    아프거나 시린 적은 한 번도 없었는데 인레이 치료를 해야 한다고 합니다. 과잉진료가 아니라 진짜 충치 맞나요?ㅠㅠ

    -> 있어보입니다.

  • 안녕하세요. 김철진 치과의사입니다.

    파노라마 사진상으로는 치아 사이에 충치가 잇는거 같습니다. 정확한건 작은 사진을 찍고 검진을 다시 해보셔야될것같습니다.

  • 안녕하세요. 최석민 치과의사입니다.

    위 사진만 보고 인접면 충치여부를 정확히 판단하기는 어렵습니다 치아가 겹쳐보이지 않는 치근단 사진이 필요합니다

    26,27 사이는 아주 깊은 충치가 있어보이진 않습니다

    오히려 사랑니와 어금니 사이 충치는 있어보입니다