아하
  • 토픽

  • 스파링

  • 잉크

  • 미션


의료상담

부대찌개3

부대찌개3

24.01.09

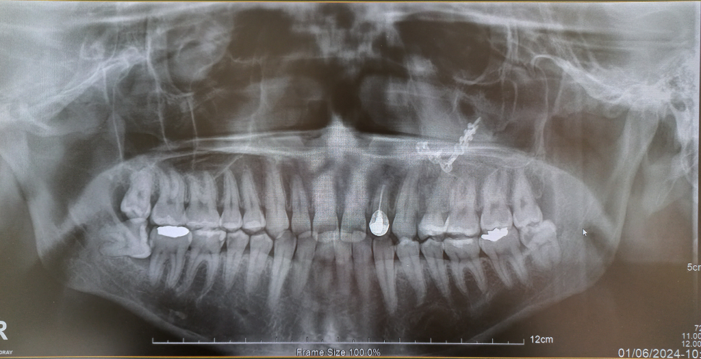
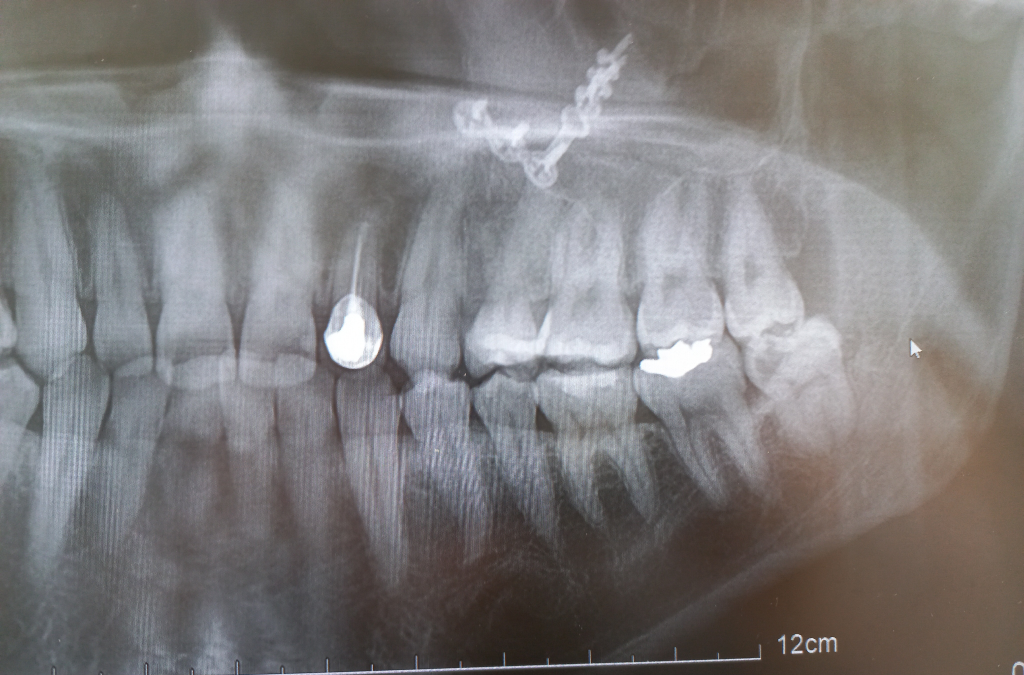
사이충치 인레이나 크라운 치료 한다는데 비용적절한가요?






사이충치는 보통 치아 2개를 전부 레진이나 인레이, 크라운으로 동시에 치료 해야하는거 맞죠?


저기 치식이라는게 치아숫자라고 알고있는데 5, 6번이면 우측하단쪽 맞나요?


비용도 평균적으로 적정한 수준인지 알고싶습니다.

  • 1번 째 사진
  • 2번 째 사진
  • 3번 째 사진
  • 4번 째 사진
  • 5번 째 사진

4개의 답변이 있어요!

  • 최석민 치과의사

    최석민 치과의사

    강원도 원주의료원

    24.01.09

    안녕하세요. 최석민 치과의사입니다.

    1. 비용은 치과마다 정해놓은 비보험수가가 다 다르기 때문에 조금씩 차이가 있을 수 있습니다만 적정선이라고 생각됩니다.

    2. 치식상 5,6번은 말씀하신 것처럼 우측하단이 맞습니다.

    3. 사이 충치의 경우 무조건 치아 2개를 같이 치료해야 하는 건 아니지만 치아 2개가 동시에 충치가 진행되고 있을 확률이 높습니다.

    4. 주어진 파노라마 방사선 사진으로 봐서도 5번은 충치가 많이 진행되었고 6번도 어느정도 충치가 있는 것으로 보입니다.

  • 안녕하세요. 김지훈 치과의사입니다.

    5,6번은 우측하단의 작은어금니와 큰어금니를 말하며 비용은 저렴한 축에 속하는 것 같습니다.

  • 안녕하세요. 김철진 치과의사입니다.

    전부다 비보험 진료이기 떄문에 치과마다 차이는 잇습니다. 평균적인 가격인거 같습니다. 치식은 가운데를 중심으로 4분악으로 나눠서 1-7번까지 표시를 하니 사진에서 보이는 5.6번은 우측 하악 5번 6번 치아를 말하는겁니다.

  • 안녕하세요. 안상우 치과의사입니다.

    충치에 보철 치료 여부는 방사선 사진으로만 확인할 수 있는 것이 아니라 육안으로도 확인을 해 봐야 알 수 있습니다.

    자세한 확인을 위해서 치과에서 진료를 받아 보는 것이 좋습니다