의료상담
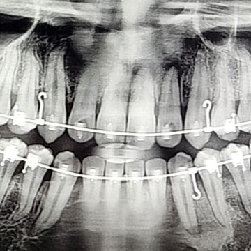
치아 x-ray 판독부탁드립니다.(치아뿌리)
안녕하세요.
교정 중 1년 전 치아를 부딪치는 사고가 있었습니다.
교정과에서는 교정을 하면서 치아가 흔들이는 현상도 많이 줄었고 잇몸뼈가 재생되는 중이라고 얘기를 들어서 크게 생각을 안하고 있었습니다.
갑자기 금일 진료 간 일반과에서 x-ray 판독 시 치아 뿌리에 염증이 있는 것으로 보인다고,, 치료가 필요하다고 합니다. 자연치유의 가능성은 없는 것인지 신경치료가 시급한지
선생님들의 의견 부탁드립니다.
55글자 더 채워주세요.
3개의 답변이 있어요!
안녕하세요. 정경호 치과의사입니다. 올려주신 방사선사진의 quality로는 정확한 진단은 불가하며, 교정 중에는 치아 이동 과정에서 전반적으로 치아뿌리 부분에 간혹 다소 방사선투과성(검은색)의 부분이 보이는 경우가 있습니다. 다만, 한 치아에만 국한되어 명확한 치아뿌리 염증 소견이 있다면, 치과에서 치수생활력 검사를 받아보시는 것이 좋겠습니다.
1명 평가안녕하세요. 김지훈 치과의사입니다.
이미 치아 뿌리에 염증이 있는 것이 관찰되기 때문에 치료를 시작하셔야 합니다. 자연치유가 되는 것은 아닙니다.
안녕하세요. 김철진 치과의사입니다.
사진상으로 오른쪽 가운데서 두번쨰 치아 뿌리끝에 염증이 잇어 보입니다. 증상이 잇다면 신경치료를 해야될수도 잇을것같습니다.

