아하
  • 토픽

  • 스파링

  • 잉크

  • 미션


의료상담

건강합니다

건강합니다

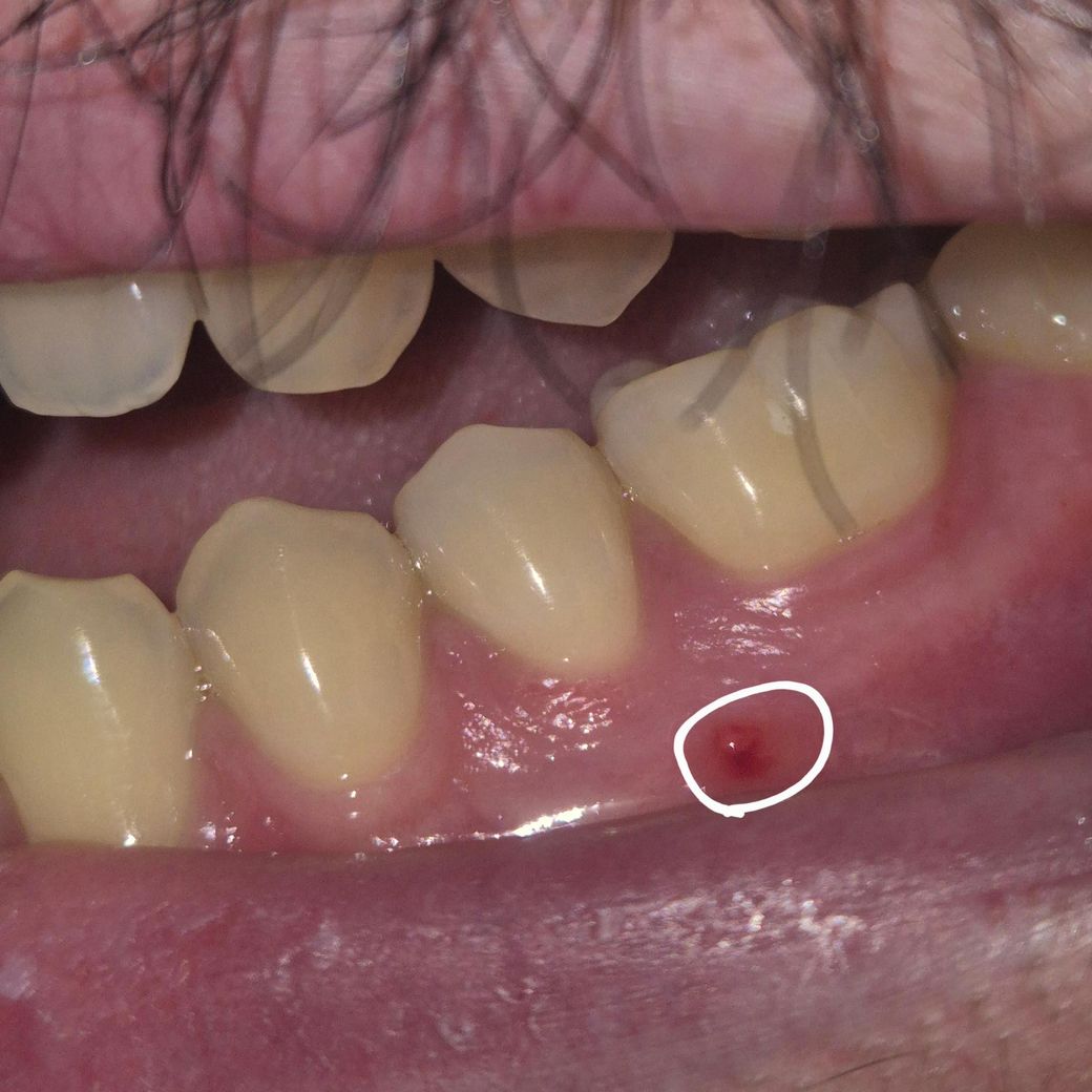
혹시 이거 잇몸 헤르페스인가요???

자고 일어나니까 이런게 생겼네요.

단순 잇몸 염증인지, 잇몸 헤르페스나 대상포진의 초기양상인지 여쭙고 싶습니다.

혀로 누르면 단단하고, 볼록하고 튀어나와 있습니다.

예전에 동일한 위치에 잇몸 헤르페스가 났었고, 그때도 초기에 사진들과 비슷한 양상과, 혀로 눌렀을때 단단하고, 볼록 튀어나와 있었어서요.

  • 1번 째 사진
  • 2번 째 사진
  • 3번 째 사진
  • 4번 째 사진
  • 5번 째 사진

2개의 답변이 있어요!

  • 김철진 치과의사

    김철진 치과의사

    가까운우리치과

    안녕하세요. 김철진 치과의사입니다.

    잇몸이 자극을 받아서 생긴 단순 수포 같습니다. 큰 문제가 잇는건 아니니 너무 걱정하지마세요.

  • 안녕하세요. 최석민 치과의사입니다.

    자극에 의해서 생기는 발적인데 세균이나 바이러스가 원인일 수도 있고 아닐 수도 있을 것 같네요. 구강내과 가보시기 바랍니다.