아하
  • 토픽

  • 스파링

  • 잉크

  • 미션


의료상담

철저한치와와42

철저한치와와42

선생님 요추 Mri 판독부탁드립니다 ㅠㅠ

안녕하세요 선생님

허리가 아픈지 5년정도 되었습니다.

예전 진료에서 척추전방전위증과 그로인한 퇴행성 디스크 그리고 팽윤이 있다고 들었습니다.

1년정도 꾸준히 재활해서 많이 좋아졌다가 최근 운동후 극심한 통증이 생겨 mri를 찍었는데

현재 제가 디스크가 터진곳이 있을까요?

집근처 병원을 세곳을다니는중인데 어떤곳은 디스크는 멀쩡하다 퇴행성만있을뿐.

어떤곳은 디스크가 터졌다고 하는게 어떤곳이 맞는건가요?

혹시 디스크가 터진게 없다면 통증이 생기는이유는 단순히 척추전방증으로인한 퇴행성디스크와 팽윤 때문인건가요?

현재 통증양상은 오른쪽허리밑쪽만 아픔니다...

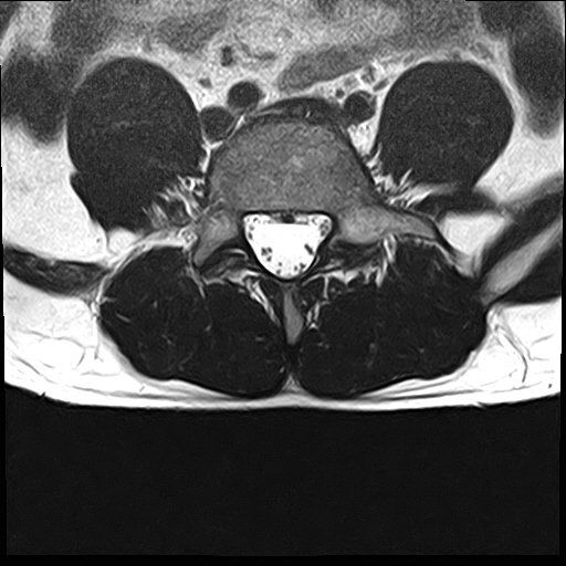
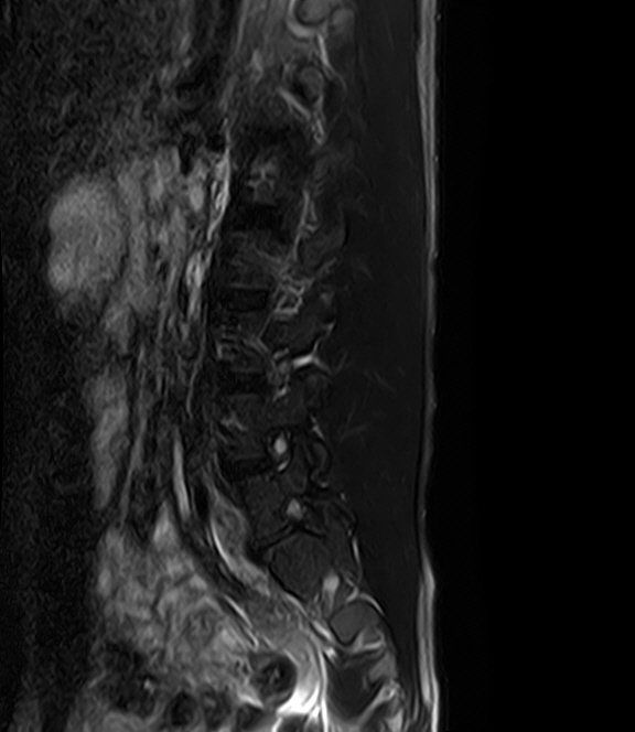
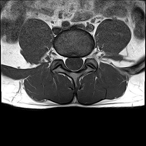
  • 1번 째 사진
  • 2번 째 사진
  • 3번 째 사진
  • 4번 째 사진
  • 5번 째 사진
  • 6번 째 사진

3개의 답변이 있어요!

  • 최병관 내과 전문의

    최병관 내과 전문의

    Awal Medical Centre, Sarina

    안녕하세요. 최병관 의사입니다.

    MRI 사진은 해당 병원에 판독지를 의뢰하면 결과지를 받을 수 있습니다. 디스크가 터져 심한 압박이 있다면 단순 통증 뿐만 아니라 근력저하나 이상감각이 같이 동반될 가능성이 높습니다.

  • 안녕하세요. 김경태 의사입니다.

    첨부한 영상은 정보가 부족합니다.

    척추 디스크 질환 및 척추 협착증 질환의 대표적인 증상은 허리통증, 하지 방사통, 걷다가 쉬어야하는 파행의 증상을 보입니다.

    다리쪽으로 근력저하나 감각저하가 있다면 수술적 치료를 필요로 하는 상태일 가능성이 높습니다.

    무엇보다 병원 방문하셔서 신체검사 및 정밀영상검사 시행하셔서 원인을 확인하고 그에 맞게 치료 받는 것이 좋겠습니다.

  • 안녕하세요 아하(Aha) 의료, 코로나 카테고리에서 활동중인 전문의입니다.

    디스크가 명확하게 튀어나와 신경뿌리를 압박하는 병변은 보이지 않는 MRI로 생각됩니다.

    참조하시어 도움이 되기를 바랍니다.