아하
  • 토픽

  • 스파링

  • 잉크

  • 미션


의료상담

대단히존경받는왈라비

대단히존경받는왈라비

25.03.26

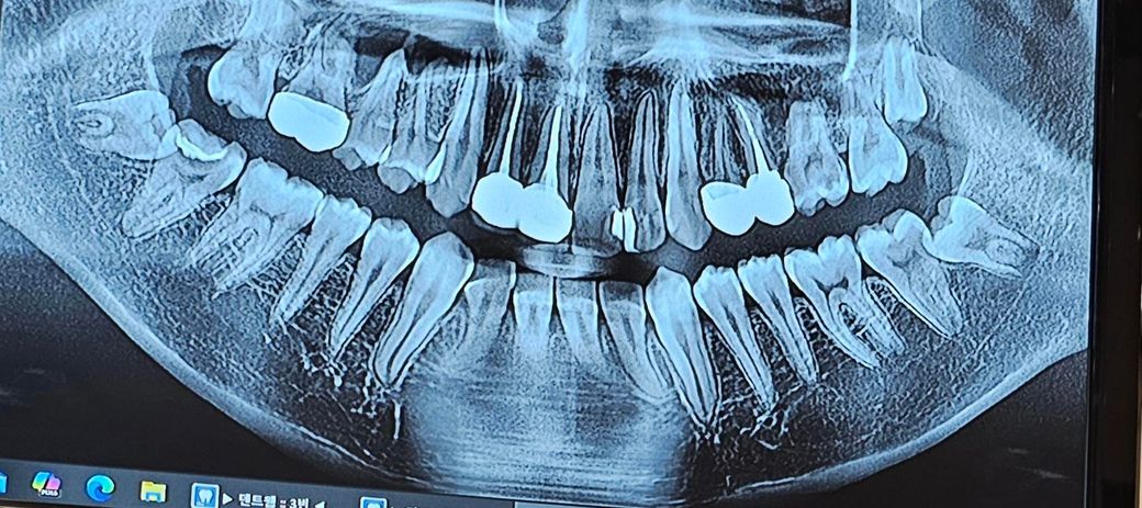
이 치아는 신경치료 해야하는 치료인가요?

사진기준 맨 왼쪽치아요

근데 제가 2주뒤면 군대를 가서 신경치료를 못받는 상황이거든요.. 근데 들은말로는 충전제밑에 충치가 커보이고 신경치료 확률이 높다 이래서요..

군대 갔다와서 치료해도 되나요? 아프진않아요 그리고 군대내에서 많이 아파질까봐요.. 아니면 신경이 노출되도 다른 치료방법이 있나요? 하 너무 고민이에요

  • 1번 째 사진

4개의 답변이 있어요!

  • 김철진 치과의사

    김철진 치과의사

    가까운우리치과

    25.03.27

    안녕하세요. 김철진 치과의사입니다.

    엑스레이 상으로 충치가 깊어 보이긴 합니다. 군대를 가야된다면 일단은 임시재료로 매꿔놓고 추후에 시간이 되면 신경치료를 하시는게 좋을것같습니다.

  • 안녕하세요. 김지훈 치과의사입니다.

    사진상으로는 신경치료 가능성이 높습니다. 군대 가기전에 치료를 마무리하심이 좋아보입니다.

  • 안녕하세요. 안상우 치과의사입니다.

    통증이 없거나 충치를 제거하고 나서도 신경이 노출이 되지 않는다면 신경치료를 하지 않아도 될수 있습니다. 신경치료는 하루만에 마무리 되는것이 아니기 때문에 충분한 시간을 가지고 치료를 받는것이 좋습니다

    군대를 갔을 경우 해당부위의 충치로 인해서 통증이 유발될수 있기 때문에 군대를 가기전에 치료를 하는것이 좋을것으로 생각됩니다.

  • 안녕하세요. 최석민 치과의사입니다.

    1. 신경 노출 시 신경치료 외 다른 방법은 없습니다.

    2. 군 병원에서도 치과치료 가능합니다.

    3. 별 증상이 없다면 지금 치과치료를 시작하기엔 너무 일정이 타이트합니다. 증상체크기간까지 본다면 최소 한달은 필요할 것 같습니다.