아하
  • 토픽

  • 스파링

  • 잉크

  • 미션


의료상담

지나치게인상적인벌새

지나치게인상적인벌새

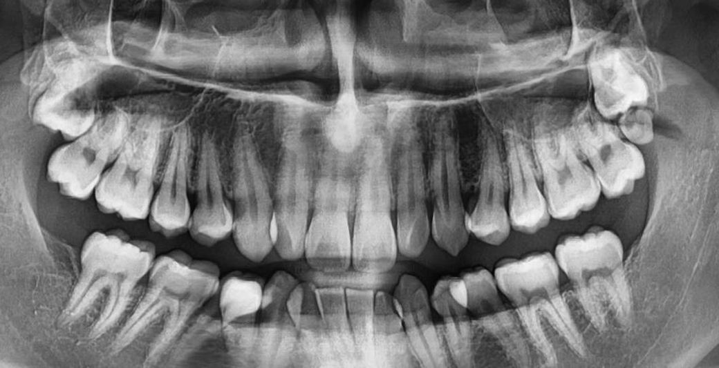
상악 매복 사랑니 발치 궁금합니다..

현재 위쪽에 양쪽으로 사랑니가 매복해있습니다. 교정을 진행하려면 매복 사랑니 발치는 필수적인가요? 그리고 상당이 위쪽에 깊게 박힌 것 같은데 발치 한다면 난이도나 통증은 어느 정도로 보시나요? 그리고 천공도 발생할 가능성이 큰 경우인가요??

  • 1번 째 사진

3개의 답변이 있어요!

  • 안상우 치과의사

    안상우 치과의사

    목동안치과의원

    안녕하세요. 안상우 치과의사입니다.

    사랑니가 매복되어 있고 따로 문제를 발생시키지 않는다면 발치를 할 필요는 없습니다. 치아를 후방으로 많이 이동해야 되는 상황이 있다면 발치를 해야 할 수도 있습니다.

    자세한 확인을 위해서 치과에서 진료를 받아보는 것을 권유드립니다.

  • 안녕하세요. 최석민 치과의사입니다.

    1. 사랑니 발치가 무조건적인건 아니고 교정 시 필요한 공간이 얼마인지에 따라 다릅니다

    2. 뼈에 파묻혀 있어서 난이도가 꽤 높습니다. 다만 마취가 잘 되면 통증은 걱정할 거 없습니다.

    3. 천공 가능성 있습니다

  • 안녕하세요. 김철진 치과의사입니다.

    저정도 매복사랑니라면 교정시 발치를 무조건 하실필요는 없을것같습니다. 일단은 교정 진단을 먼저 받아보세요.