의료상담

앞니 치아 뿌리가 많이 짧은 편인가요?

교정 중인데, 아래 앞니 뿌리가 좀 짧은 편인 거 같아서요.. 사실 아랫니 살짝 벌어진 것 때문에 교정을 시작했는데, 치아 뿌리를 보니 갑자기 괜히 했나 걱정도 되네요ㅠㅠ

첫 번째 사진은 교정 시작 전에 찍은 엑스레이인데, 교정하고 뿌리가 더 짧아질 가능성이 있나요?

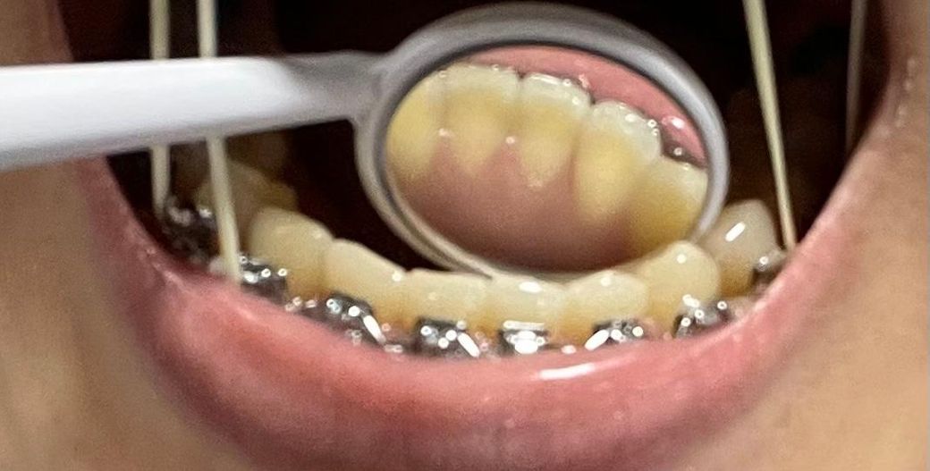
그리고 2,3번째 사진은 현재인데, 평소에 신경 안쓰고 살다가 우연히 보게 됐는데 아랫니 치아 안쪽 잇몸이 너무 v자로 파진 느낌이 드는데 원래 그런건가요?

  • 1번 째 사진
  • 2번 째 사진
  • 3번 째 사진

1개의 답변이 있어요!

  • 안녕하세요. 전택근 치과의사입니다.

    방사선 사진 상에서 치근 길이 엄청 짧거나 이상있어 보이지는 않으며 구내 사진 상에서도 큰 이상은 없어보입니다. 교정 치료 중에는 치아 이동에 따른 치근 흡수가 발생할 수 있으며 교장 합병증 중 하나입니다.

    지금 첨부 주신 사진상에서는 큰 이상은 없어보입니다. 너무 걱정하지는 않으셔도 될 것 같으며 자세한 것들은 사진 자료가 있는 교정 치과에서 꼭 이야기 나눠보시기를 바랍니다.

    감사합니다.

    채택 보상으로 303베리 받았어요.

    채택된 답변