아핫뉴스실시간 인기검색어
아핫뉴스 화산 이미지
화산 아이콘 11
비트코인 잠잠한데 금 역대 최고가
아하

의료상담

치과

Jcoeow
Jcoeow

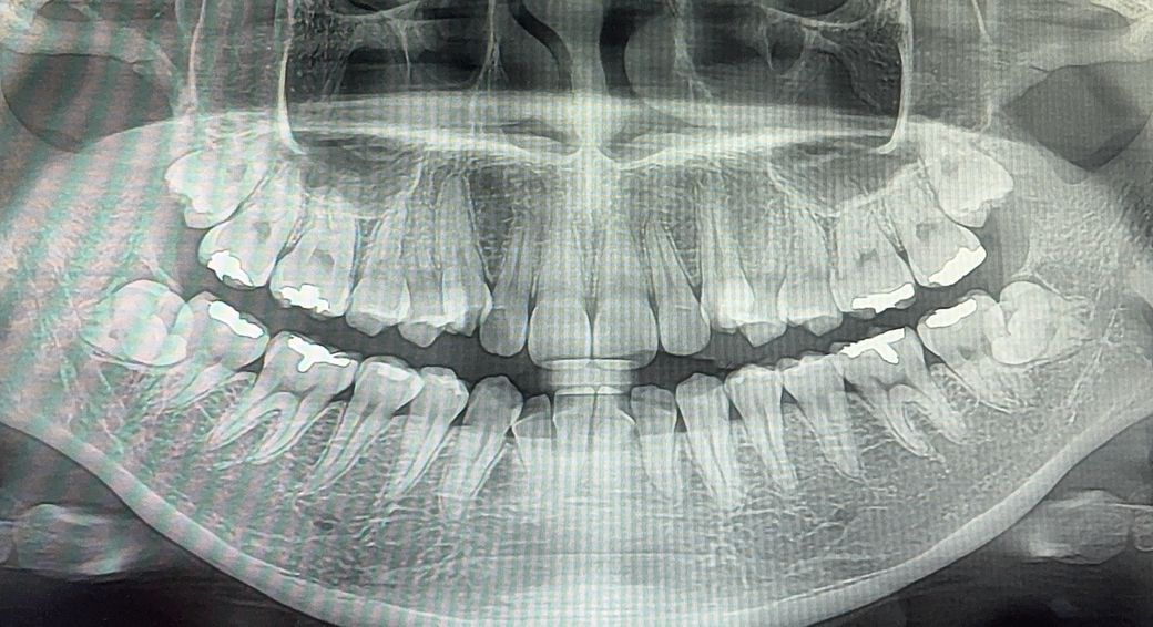
치아 뿌리 많이 짧은가요? (교정하는 중입니다)

교정 장치 붙이기 전 엑스레이고, 교정기는 그저께 위에만 붙였어요

치아 뿌리 많이 짧은 편인가요? 턱이 작다고 하시긴 했는데 선천적인 걸까요..

의사쌤은 별말 없으셨는데 인터넷 찾아보니까 제 뿌리가 짧은 것 같아서요.. 치근흡수?가 걱정되네요

치아 뿌리 말씀드리면서 앞니 교정력을 약하게 해달라고 말씀드려야 할까요?

  • 1번 째 사진
2개의 답변이 있어요!
  • 안녕하세요. 김철진 치과의사입니다.

    엑스레이 상으로 아래 앞니 치아뿌리가 상대적으로 짧아보이긴합니다. 하지만 엑스레이 촬영에 따라 다르게 보일수 잇습니다.

    1명 평가
  • 안녕하세요. 최석민 치과의사입니다.

    1. 턱이 작은 건 유전적인 것입니다

    2. 파노라마 사진이 원래 앞니 뿌리 부위는 살짝 왜곡을 일으켜 보이기도 합니다. 그래서 정확한 판단은 어려운데 살짝 평균보다 치근이 짧아보이긴 합니다.

    3. 이와 관련해서 우려되는 점을 교정 담당 치과의사에게 말해도 좋습니다.

    1명 평가