아하
  • 토픽

  • 스파링

  • 잉크

  • 미션


의료상담

진득한키위5

진득한키위5

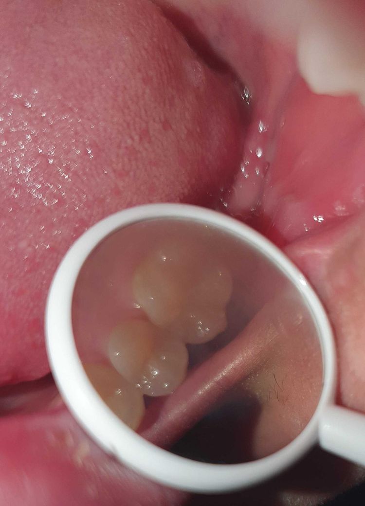
윗 어금니 통증이 원인이 뭘까요 치과도 모른다네요.

처음 닿을때 살짝 시린느낌?신경이 아픈느낌? 이고 그다음부터는 닿아도 상관없는데 왜이러죠

왼쪽 윗 어금니에 가끔식 통증이 와요.

26일 헌혈하고 나서 생겼는데 뭐 의사님들이 헌혈은 관계 없다고 하시니..

딱히 딱딱한 거 씹은적도 없고 한데, 수면부족 이것도 별 상관 없나요?

치과 가서 검사해도 별 이상은 없다고 시간 지나면 괜찮아 진다고 스케일링만 받고왔네요.

대체 원인이 뭐죠.. 환상통인가요

  • 1번 째 사진
  • 2번 째 사진
  • 3번 째 사진
  • 4번 째 사진
  • 5번 째 사진

1개의 답변이 있어요!

  • 최석민 치과의사

    최석민 치과의사

    강원도 원주의료원

    안녕하세요. 최석민 치과의사입니다.

    씹을때 반복적으로 통증이 있는게 아닌이상 치과에서 진단을 내리기가 어렵습니다 일단은 명확한 증상이 나타날때까지 지켜보는 수 밖에 없습니다