아하
  • 토픽

  • 스파링

  • 잉크

  • 미션


의료상담

와일드한타조257

와일드한타조257

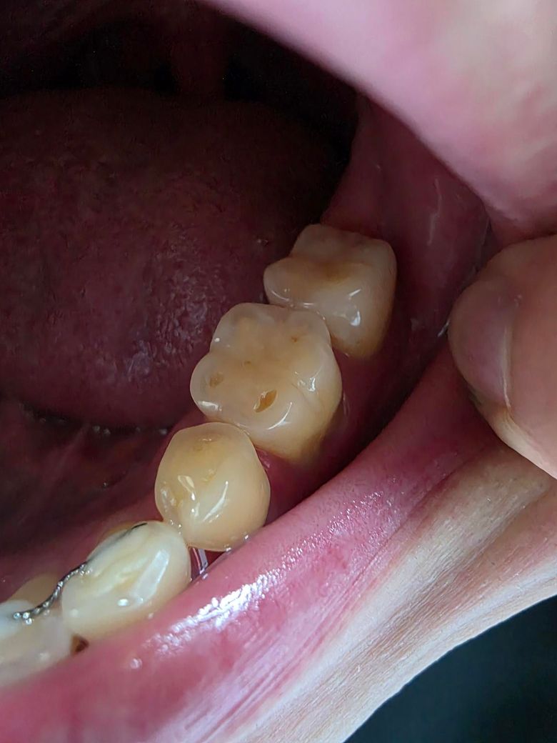
치아 단면에 구멍 난건가요?????

어금니쪽에 구멍이 난것같이 보이는데

충치인가요?? 치료가 필요한건지요??

손톱으로 만져보니 좀 패인것 같고 살짝 시린거같기도한데 통증은 없어요!

반대쪽에는 없는데 이게 뭔가요??

  • 1번 째 사진
  • 2번 째 사진

4개의 답변이 있어요!

  • 김지훈 치과의사

    김지훈 치과의사

    메가

    안녕하세요. 김지훈 치과의사입니다.

    치아가 씹는 힘이 강하여 마모가 된 것으로 보이며 레진으로는 치료해도 또 깨지거나 마모될겁니다.

  • 안녕하세요. 안상우 치과의사입니다.

    사진으로 봤을 경우 마모증으로 보입니다. 마모증은 치아에 과도한 힘이 가해졌을 경우 치아가 마모가 되면서 생기는 증상으로 치아에 가해지는 힘을 줄여줘야 합니다. 지속적으로 힘이 강하게 가해지게 되면 치아의 마모가 더 진행하게 되어 치아가 시리거나 불편감을 느낄 수 있습니다.

  • 안녕하세요. 김철진 치과의사입니다.

    치아에 구멍난건 맞지만 다른 이유가 아니라 치아가 교합되면서 교모되서 그런거니 크게 걱정은 안하셔도 될것같습니다.

  • 안녕하세요. 최석민 치과의사입니다.

    전반적으로 주변치아의 교두도 편평하고, 이갈이나 이악물기 습관으로 인해 치아가 많이 마모된 것 같습니다.

    말씀하신 부위는 치아 특정부위가 패였네요

    시리다면 떼워주면 될 것 같습니다

    그보다는 구강 악습관이 있다면 개선하는 것이 좋을 것 같습니다