아하
  • 토픽

  • 스파링

  • 잉크

  • 미션


의료상담

머쓱한하운드229

머쓱한하운드229

24.01.11

사랑니 발치 신경 손상되면 어떻게 되는 건 가요?

사랑니가 보기 드물게 났다고 하더라구요

신경과도 너무 가깝다고요..신경 손상이 있을 수 있다는데 신경 손상이되면 어떻게 되는 건 가요..?

그래서 뿌리 부분은 무조건 부러진다고 남겨두고 발치 한다고 하더라구요. 그렇게 해도 괜찮나요?

제가 알기론 남겨두면 염증 생긴다고 들었거든요..

아닌가요?ㅠ 넘 무서워요 ㅠ

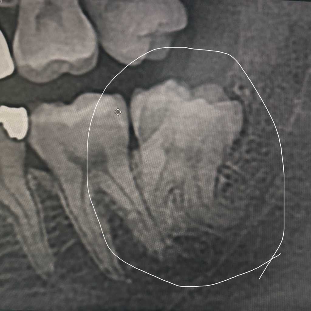
사진은 제 사랑니에요 ㅠ



  • 1번 째 사진

3개의 답변이 있어요!

  • 김지훈 치과의사

    김지훈 치과의사

    메가

    24.01.12

    안녕하세요. 김지훈 치과의사입니다.

    남겨둔다고 염증이 되지는 않으며 뼈와 잘 묻혀있으면 보통 문제가 안생깁니다.

    신경이 손상되면 감각이 둔해집니다.

  • 안녕하세요. 김철진 치과의사입니다.

    사랑니 뿌리가 많이 휘어져 잇는거 같습니다. 뿌리가 살짝남은건 크게 문제가 되진 않습니다. 신경이 눌린경우에는 약간 마취가 덜풀린 느낌이 들며 시간이 지나면서 서서히 회복됩니다.

  • 안녕하세요. 최석민 치과의사입니다.

    사진에 있는 왼쪽 아래 사랑니는 뿌리가 반대로 굉장히 휘어져 있기 때문에 사랑니 발치 시 뿌리가 부서질 확률이 매우 높습니다.

    그래서 발치 중에 너무 무리해서 뽑으려고 하지 않고 뿌리 끝을 남겨둘 수도 있습니다. 또한 신경과 근접해 있기도 하기 때문에 발치의 난이도는 높긴 합니다.

    발치 중 신경손상의 가능성도 있긴 합니다. 이런 경우 일시적으로 아래턱 마비의 증상이 있을 수 있습니다. 이런 마비의 증상은 일시적일 수도 있고 아니면 최대 6개월~1년 지속될 가능성도 있긴 합니다.