아하
  • 토픽

  • 스파링

  • 잉크

  • 미션


의료상담

진짜로유식한오므라이스

진짜로유식한오므라이스

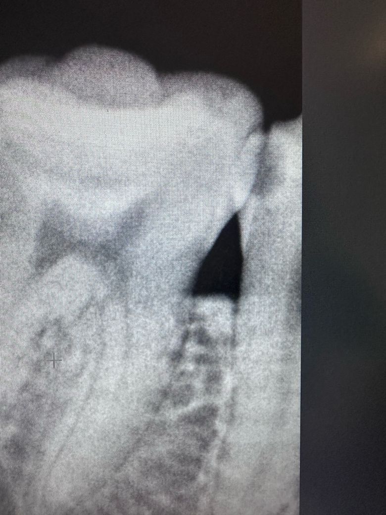
이빨이 깨져서 치과에 갔는데 저 엑스레이 사진에서 충치가 심하게 보이나요?

이빨이 깨져서 치과에 방문했는데 깨진 부위가 충치 때문에 썩어서 깨졌다고 하더라고요 깨진부위를 때울려면도자기?를 해서 빨간색 선 만큼 깍고 만약 깍고 나서 신경이 보인다면 신경치료를 해야 한다고 하시는데 저 엑스레이 사진에서 충치가 좀 심한가요? ㅜㅜ

그리고 예전 3년 전쯤 오른쪽 맨 끝 어금니

신경치료를 했는데 돈이 없어서 크라운을 안씌웠는데 현재는 어쩔 도리가 없고 나중에 치아가 깨졌을때 임플란트 해야 한다고 하시는데 지금이라도 크라운을 씌우면 살릴수 있을까요? ㅠㅠ

맨 3번째 사진은 작년 겨울쯤 사랑니 빼기 전 사진이에요! 저 사진에서도 충치가 보이나요??

  • 1번 째 사진
  • 2번 째 사진
  • 3번 째 사진

2개의 답변이 있어요!

  • 김철진 치과의사

    김철진 치과의사

    가까운우리치과

    안녕하세요. 김철진 치과의사입니다.

    충치가 많이 진행된거 같고 일단은 신경치료를 하지 않고 치료를 해보겟지만 신경치료 가능성이 있어 보입니다.

  • 안녕하세요. 최석민 치과의사입니다.

    충치도 있고 치아도 옆면이 깨져나가서 인레이를 하자고 한것이고 여기서 치료하다가 신경이 노출되면 신경치료를 해야합니다