의료상담
씹을 때 턱이 아파요 턱 과두 한 번 봐주세요
약간 단단한 거 먹을 때 턱이 아픈데요 지금 현재 상태가 병원에가서 치료 받아야 할 정도인가요?
몇 달 전부터 증상이 시작 됐는데 확인 한번 부탁드립니다
55글자 더 채워주세요.
3개의 답변이 있어요!
안녕하세요. 안상우 치과의사입니다.
음식을 먹을때 턱이 아프다면 턱관절 질환이 있을 가능성이 높습니다. 턱관절질환은 턱관절에 가해지는 힘이 너무 강해서 생기는 것이기 때문에 턱관절에 가해지는 힘을 줄여주는것이 좋습니다. 또한 구강내과에서 턱관절 치료를 받는다면 턱관절 질환증상을 줄일수 있습니다.
안녕하세요. 김철진 치과의사입니다.
입을 벌리거나 다물떄 아프거나 씹을떄 턱관절이 아프다면 구강내과를 가셔서 검진을 한번 받아보시는게 좋을것같습니다.
안녕하세요. 최석민 치과의사입니다.
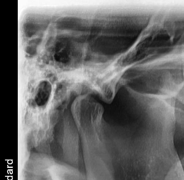
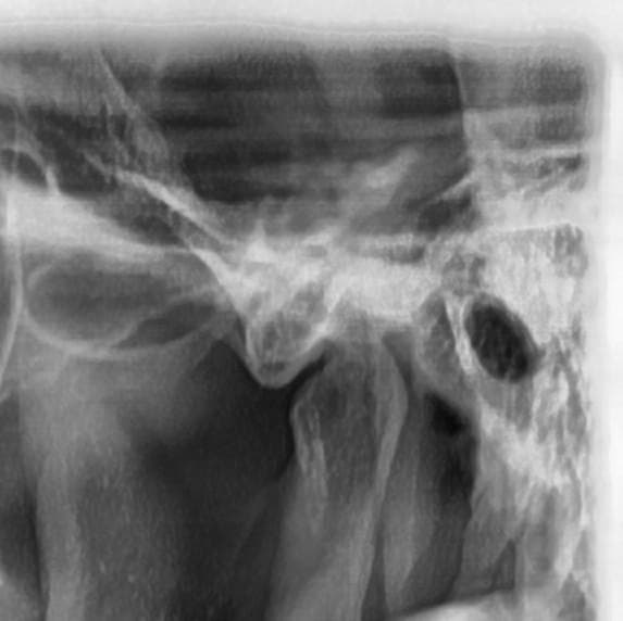
왼쪽 턱관절의 condyle 모양이 다소 각이져 있긴 한데 심한 턱관절염으로 보이진 않습니다. 딱딱한 음식 피하시고, 턱 마사지 해주세요 증상이 그래도 지속되면 구강내과 가보세요

