아핫뉴스실시간 인기검색어
아핫뉴스 화산 이미지
화산 아이콘 11
외계인 공개 비트코인 급등
아하

의료상담

치과

그런대로청량한갈비탕
그런대로청량한갈비탕

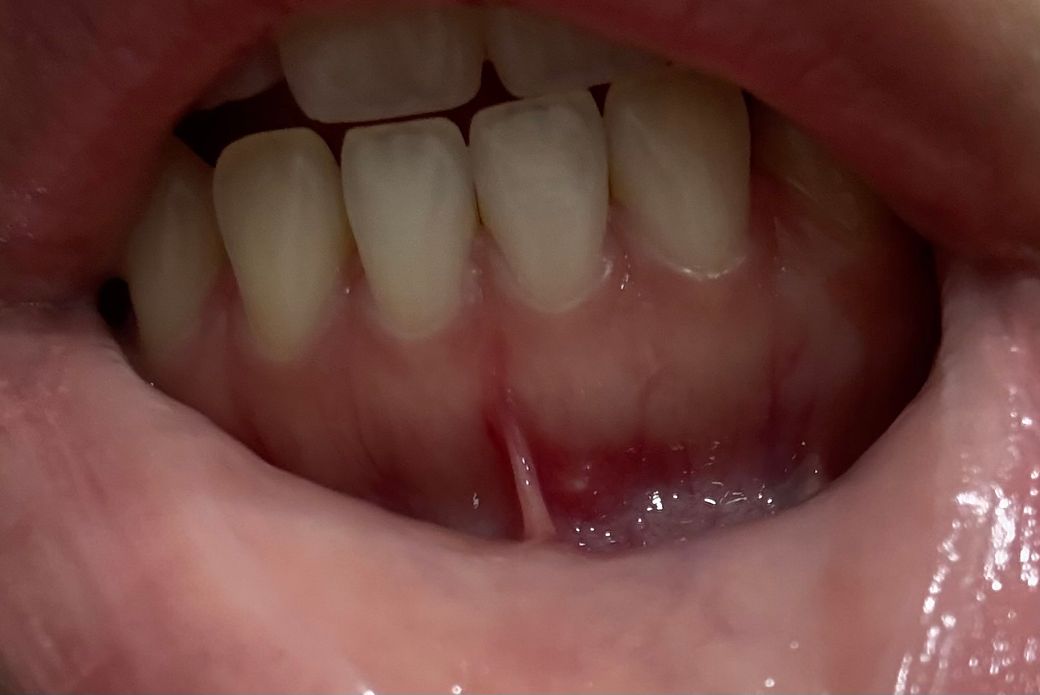
잇몸에 하얀 작은 염증(사진주의!!)

며칠 전부터 사진상 하얗게 염증이 올라온 딱 저 부분이 혓바늘이 난 것처럼 불편하더니 어제부터 뾰루지같이 염증이 올라왔습니다. 이게 잇몸질환인지 아니면 치아 뿌리같은 내부에 생긴 문제인지ㅠㅠ 처음 겪어보는 일이라 너무 신경쓰이네요. 며칠 경과를 지켜봐도 될까요 아니면 바로 치과에 달려가야 할까요??ㅠㅠㅠㅠㅠㅠ

  • 1번 째 사진
  • 2번 째 사진
5개의 답변이 있어요!
  • 안녕하세요. 김철진 치과의사입니다.

    사진에 보이는 부분에 자극을 받으면서 구내염이 생긴거 같습니다 시간이 지나면 괜찮아 지실꺼에요.

    1명 평가
  • 안녕하세요. 안상우 치과의사입니다.

    정확하게 확인하긴 어렵지만 구내염 또는 치근단 질환일 가능성은 높습니다. 구내염은 점막에 연조지게 손상이 생기고 감염이 되면서 생기는 증상입니다. 치근단 질환은 치아 내부에 신경이 감염이 되어 뿌리 쪽에 염증이 나오는 증상입니다. 치근단 질환일 경우에는 신경치료가 필요할 수 있으니 자세한 확인을 위해서 치과에서 진료를 받아보는 것을 권유드립니다.

    1명 평가
  • 안녕하세요. 김지훈 치과의사입니다.

    치아 뿌리 염증일 가능성도 있기는 합니다. 며칠 지켜봐도 안 없어진다면 치과 가보심이 좋겠습니다.

    1명 평가
  • 안녕하세요. 송우식 치과의사입니다.

    심하지는 않습니다. 일시적일 가능성이 높습니다. 기다리면 저절로 없어질 가능성 높습니다. 아마도 지금 통증이나 큰 불편감은 없을 것으로 추정됩니다. 건드리지 않으면 저절로 가라앉을 것으로 보입니다.

    1명 평가
  • 안녕하세요. 최석민 치과의사입니다.

    사진만봐서는 정확한 진단이 어렵습니다 치과를 가보시는 것을 추천합니다 잇몸염증이든, 치조농양이든 치과에서 처치가 필요합니다

    1명 평가