아하
  • 토픽

  • 스파링

  • 잉크

  • 미션


갈수록굳센왕도마뱀

갈수록굳센왕도마뱀

고양이 FNA검사결과지 확인할수있을까요..애매해서 문의드립니다

반려동물 종류

고양이

성별

암컷

나이 (개월)

20개월

몸무게 (kg)

3.6

중성화 수술

없음

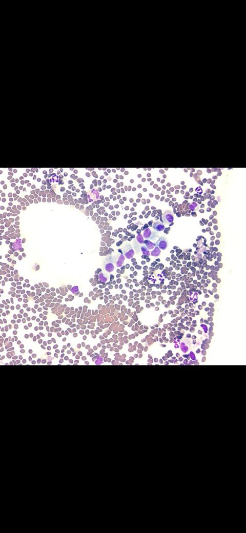
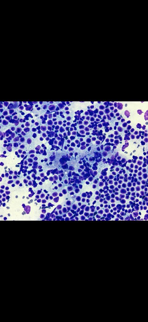
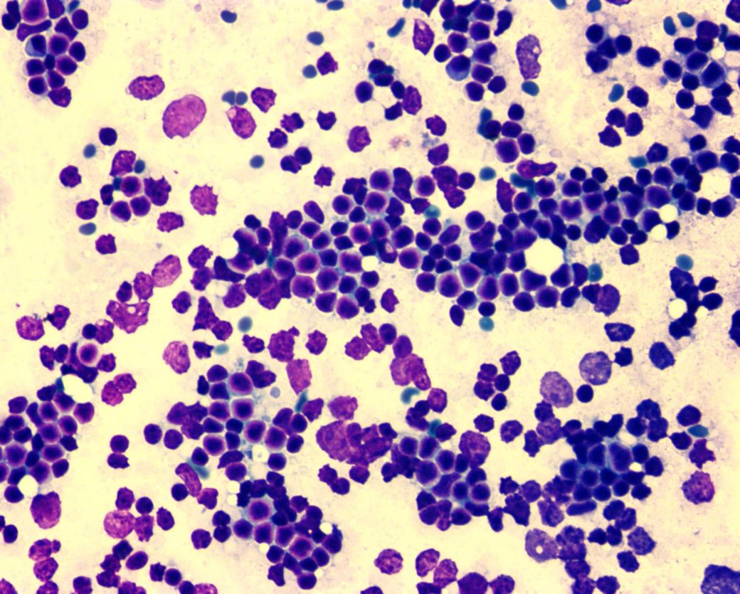
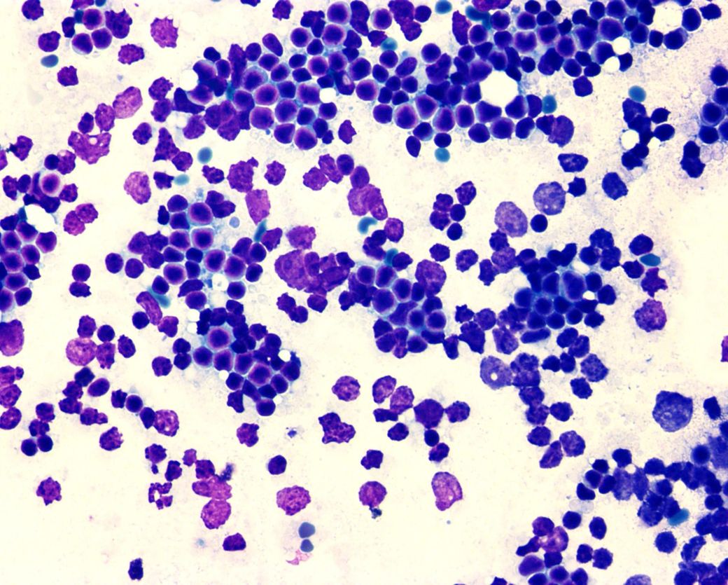
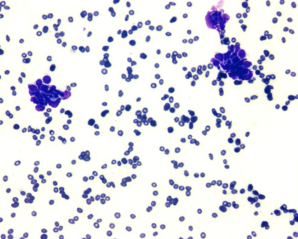
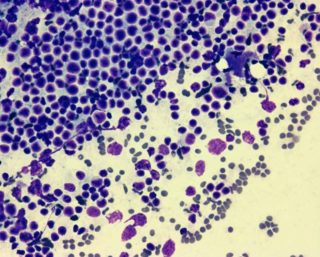
고양이 구토증세 식욕부진으로 십이지장근막이두꺼워져 fna검사까지 가게되었는데 조금 애매한답을해주셨는데 선생님께서는 림프종의심 항암chop 치료들어가자고하셨고 스테로이드까지 처방받았는데 조직검사하려다 복잡한부위로? 어렵다는답을들었습니다 알수가있을까요..

1개의 답변이 있어요!

  • 이은수 수의사

    이은수 수의사

    프리랜서

    안녕하세요. 이은수 수의사입니다.

    첨부된 사진에 다양한 양상의 비정형의 유사분열상이 관찰되고 핵 대소부동증을 비롯한 악성도를 높게둘 증거들이 관찰되고있습니다.

    주치의가 항암을 권했다면 제공된 사진 이외에도 다른 악성지표들이 많이 있을 가능성이 있으니 주치의 의견을 따르시는걸 추천합니다.