아하
  • 토픽

  • 스파링

  • 잉크

  • 미션


의료상담

내내인사이트있는코뿔소

내내인사이트있는코뿔소

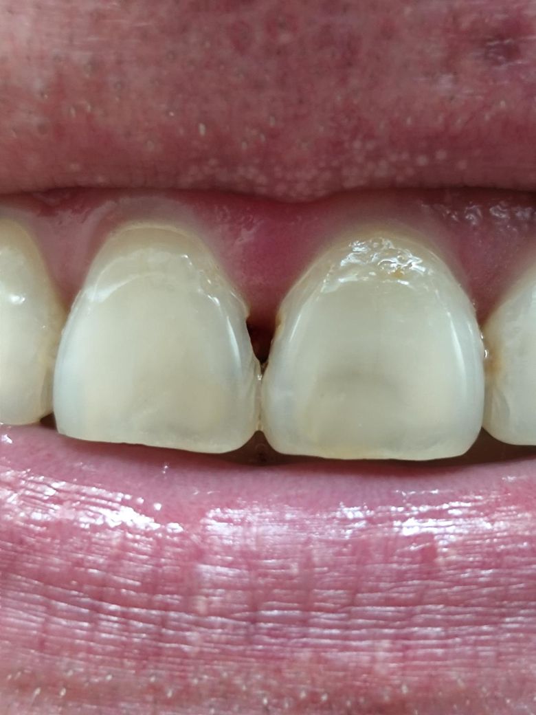
앞니 위쪽이 파손되었어요. 이럴 경우 어떻게 치료를 하나요?

안녕하세요.

제가 오늘 치킨을 먹다가 잔뼈같은게 치아 사이에 끼어서 들어갔다가 치아가 파절된 것 같습니다.

아래 두 사진처럼 앞니 윗부분에 공백같은 공간이 생겼는데요.

통증이나 시린증상은 없습니다.

  1. 전에도 잔뼈가 앞니 사이에 끼어서 빼는데 고생했었는데요. 전에도 한 번 치킨 잔뼈가 껴서 고생했었는데 그 틈 사이로 충치로 생겨서 파손된걸까요? 아니면 단순골절일까요?

  1. 이 치아 뒤편에 교정 후에 붙이는 철사 같은데 있는데요. 이거를 탈거하고 치료를 해야 하나요? 아니면 철사를 탈거하지 않고도 치료를 할 수 있을까요?

  1. 치료한다면 레진으로 치료가 되는건가요. 크라운인가요.

제가 옛날에 교정했던 치과가 처음에는 몰랐는데 과잉진료로 동네에서 유명한 치과라서요.

되도록이면 그 치과를 피하고 싶어서요. 그런데 철사를 탈거하고 치료하게 되면 교정한 치과만 받아 줄 것 같아서 질문드립니다.

(교정치과는 이전에도 인레이로 살릴 수 있는 치아를 무조건 크라운이라고 해서 다른 치과에서 받았었는데요. )

전문가 선생님들의 고견을 부탁드립니다.

  • 1번 째 사진
  • 2번 째 사진

3개의 답변이 있어요!

  • 김철진 치과의사

    김철진 치과의사

    가까운우리치과

    안녕하세요. 김철진 치과의사입니다.

    치아 상태에 따라서 충치가 깊으면 유지장치를 제거를 하고 치료를 하셔야됩니다. 일단은 검진이 먼저 필요해 보입니다.

  • 안녕하세요. 안상우 치과의사입니다.

    사진으로는 정확한 확인이 어려워 보입니다. 치아사이에 충치가 있다면 치료가 필요할수 있습니다. 

    이전에 부착한 레진이 탈락한것이라면 레진을 다시 부착할수도 있습니다. 

    자세한 확인을 위해서 치과에서 진료를 받아 보세요.

  • 안녕하세요. 최석민 치과의사입니다.

    1. 치아가 파절된 것처럼 보이진 않습니다

    2. 앞니 사이 빈 공간은 치간 사이 잇몸이 주저앉아서 그렇습니다

    3. 음식물이 껴서 일시적으로 더 잇몸이 눌러 사이 공간이 더 보일 순 있습니다

    4. 어쨌든 평상시에 음식물이 너무 껴서 불편하다면 크라운을 씌워줄 수 있고 이런 경우 뒤에 철서 유지장치 제거 후 재제작해야합니다