아하
  • 토픽

  • 스파링

  • 잉크

  • 미션


곰살맞은비단벌레208

곰살맞은비단벌레208

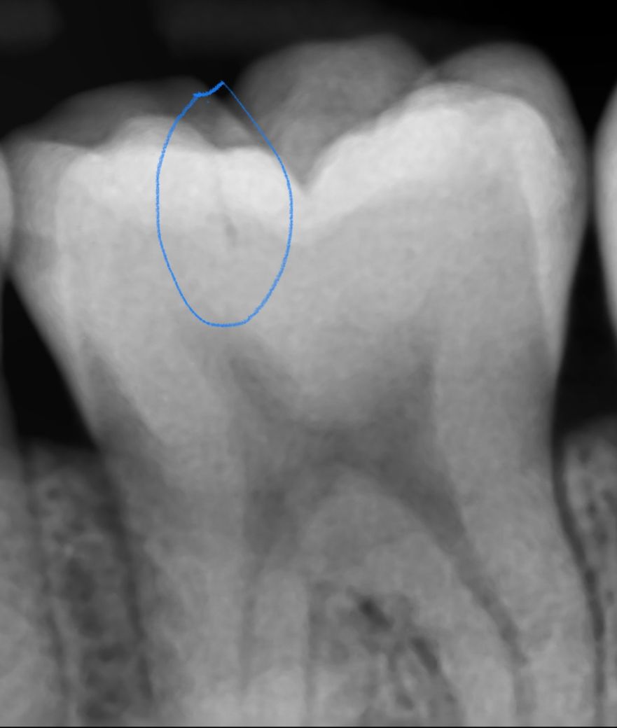
교합면에 이렇게 찍 줄나있는데 이건 뭔가요?

법랑질 넘어 상아질까지 찍 줄이 그어져있는데요 그저 교익방사선찍을때 찍힌 잔상인가요? 파노라마에서는 안보였는데 교익사진에서는 보여서 질문드려요 감사합니다

  • 1번 째 사진

2개의 답변이 있어요!

  • 김철진 치과의사

    김철진 치과의사

    가까운우리치과

    안녕하세요. 김철진 치과의사입니다.

    치아에 금이가서 저렇게 보일수도 잇고 예전에 치료한게 오래되서 틈이 생겨서 그렇게 보일수도 있습니다.

  • 안녕하세요. 최석민 치과의사입니다.

    1. 파노라마 사진은 교익, 치근단 방사선 사진에 비해 해상도가 낮습니다.

    2. 사진만으로는 크랙이 아닐까 의심되지만 확정적이진 않습니다. 금이 간 치아는 환자의 임상 증상, 메틸렌 블루 염색, 광투사, Q-ray 등으로 좀 더 정밀한 진단이 필요합니다.