치과에서 검진을 받았는데 충치가 아닐까요?
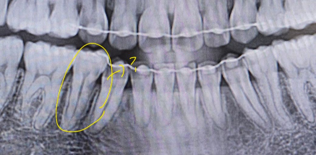
사랑니 전문 병원에서 2년전 사랑니를 빼기 전에 찍은 사진 (1) 과 2년 후에 사랑니를 빼고 나서의 사진 (2) 사이에 교정기를 단 쪽에 뭔가 파여 있는 듯 한 자국이 보이더군요... 그래서 1개월 뒤 타 치과에서 검진(3)을 받아봤는데 충치는 없다고 진단해주셨습니다... 원래도 시림 증상도 없고 멀쩡해서 안심이긴 하지만 타 선생님이 보시기에도 충치가 아닌지 궁금합니다 ㅜ 점점 신경 쪽하고 가까워지고 있는 것 같기도 해서요...🥺
안녕하세요. 최석민 치과의사입니다.
파노라마 엑스레이는 다양한 왜곡, 음영이 있어서 판단이 어렵고요 충치 의심 부위에 치근단 엑스레이를 찍어봐야합니다
1명 평가안녕하세요. 안상우 치과의사입니다.
사진으로 보이는 부위는 방사선사진이 어둡게 보이는 곳입니다. 인접면의 충치를 정확하게 판단하기 위해서는 치근단사진이나 육안검사가 필요할 것으로 생각됩니다.
1명 평가안녕하세요. 송준범 치과의사입니다.
방사선 사진에는 치경부 소환 이라는 것이 있는데요 말씀하신 치아의 목 부위(머리와 뿌리 사이)가 다른 곳 보다 더 까맣게 보이는 것입니다. 일종의 착시현상같이 저렇게 보이는 것인데 사진을 찍을때마다 심하기도, 정상으로 보이기도 합니다. 육안으로 봤을때 괜찮고 증상이 없으시다면 크게 걱정하지는 않으셔도 되겠습니다.
1명 평가안녕하세요. 김철진 치과의사입니다.
사진상으로는 충치가 깊어 보이거나 그렇진 않습니다. 지금처럼 관리를 잘하시면될것같습니다.
1명 평가안녕하세요. 김지훈 치과의사입니다.
사진의 선명도에 따라 달라보일 수 있지만 가능성이 보입니다. 치과에서 해당 치아 문의해보시면 좋겠습니다.
1명 평가

