의료상담
55글자 더 채워주세요.
3개의 답변이 있어요!
안녕하세요. 안상우 치과의사입니다.
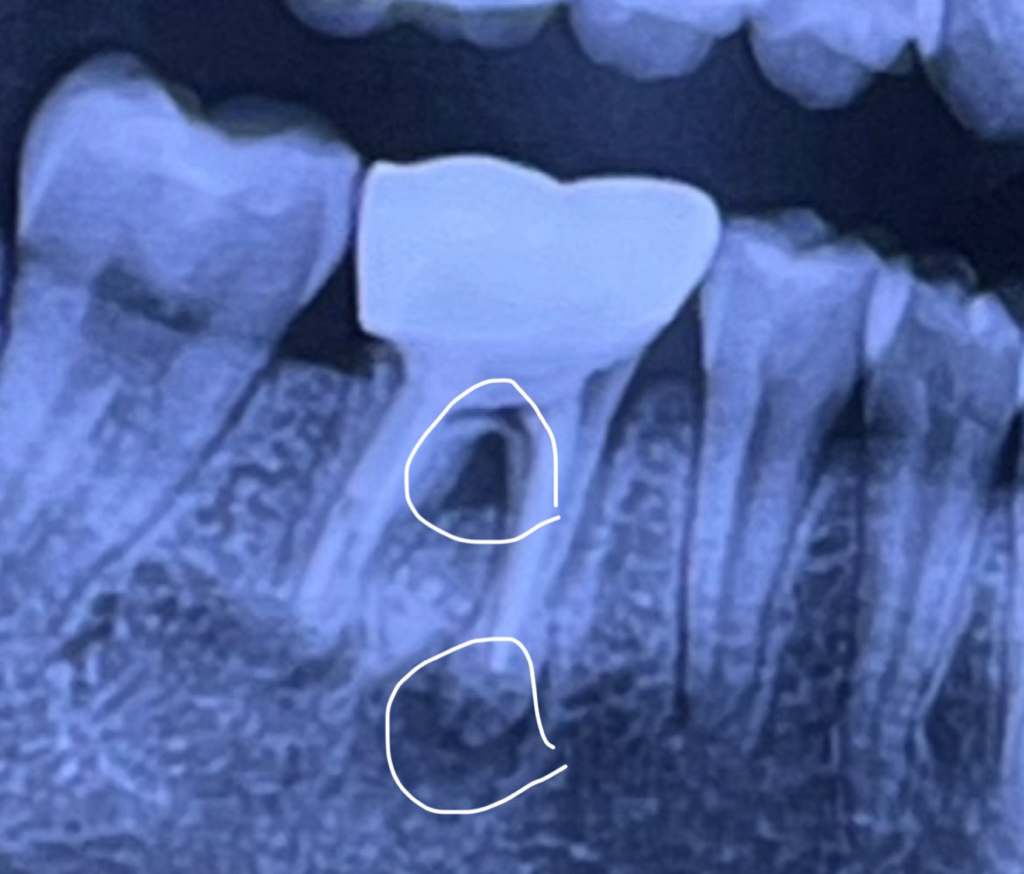
치근단 절제술은 치아의 뿌리 끝을 절제하는 수술입니다. 치아뿌리가 이개게 된 부위의 염증은 치근단 절제술로 제거하기가 힘듭니다.
자세한 확인을 위해서 치과에서 진료를 받아보는 것을 권해드립니다.
안녕하세요. 김철진 치과의사입니다.
발치만 잘된다면 치근단 절제술을 해볼수도 있지만, 발치가 안되서 치아가 부러지거나 하는경우에는 발치를 해야될 가능성이 있습니다.
안녕하세요. 최석민 치과의사입니다.
1. 치근단 절제술과 의도적 재식술 시행 가능하나 성공은 장담할 수 없습니다.
2. 말씀하신 치근 뿌리 사이 (치간이개) 도 뼈가 녹은 것이 맞습니다

