아핫뉴스실시간 인기검색어
아핫뉴스 화산 이미지
화산 아이콘 11
허찬미 영지母 미스트롯4 도전
아하

의료상담

치과

레알자부심이많은노새
레알자부심이많은노새

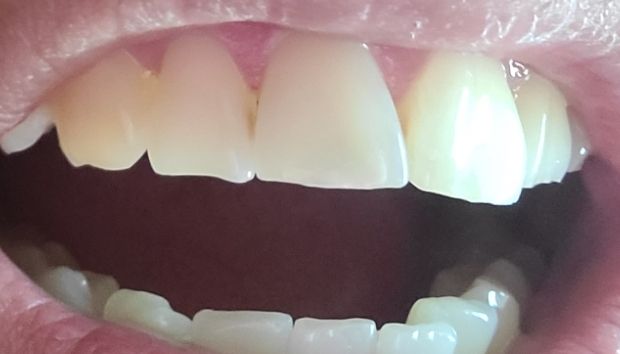
치아에 갈색선이 생겼습니다 충치일까요?

3주전에 다른쪽 치아에 충치가 있어서

그 쪽을 치료하면서 구강 검진겸 파노라마 엑스레이를 2번 찍었었는데

그때는 다른 치아 쪽에 충치가 있다는 말씀들은 없으셨습니다

그런데 오늘 갑자기 눈에 밟히네요..

충치일까요?

  • 1번 째 사진
  • 2번 째 사진
  • 3번 째 사진
  • 4번 째 사진
  • 5번 째 사진
5개의 답변이 있어요!
  • 현재 사진상으로 충치나 착색의 가능성이 있어 보이며, 보다 정확한 확인을 위해 치과 진료를 받고 확인해보길 권합니다.

    궁금증 해소에 도움이 되시길 바라며, 도움이 되신 경우 '👍 ' 눌러주길 부탁드립니다.

  • 충치보다는 변색 이 된 것으로 보입니다. 혹시 모르니 치과에 가셔서 검사를 한번 받아보시는 것이 좋겠고 정기검진 받으시는 게 좋습니다.

  • 사진으로 봤을 경우에는 충치일 수도 있지만 단순 착색일 수 있습니다 충치인 경우에는 치과용 도구로 촉진을 했을 경우 약하게 부서지는 형태를 보이게 됩니다 그렇지 않다면 단순 착색일 수 있기 때문에 치과에서 간단하게 제거할 수 있습니다 치과에서 진료를 받아 보는 것을 권유 드립니다.

  • 안녕하세요 치과의사 김철진입니다. 치아에 착색이 된거 같습니다. 일단 치과에 가셔서 스켈링을 먼저 받아보시는게 좋을것같습니다.

  • 단순 착색및 변색 내지는 치석의 확률이 더 높아보입니다

    충치로 단정지을 순 없고 작은 엑스레이 사진을 찍어보는 것이 진단에 도움이 됩니다