아하
  • 토픽

  • 스파링

  • 잉크

  • 미션


의료상담

가끔순진한펭귄

가끔순진한펭귄

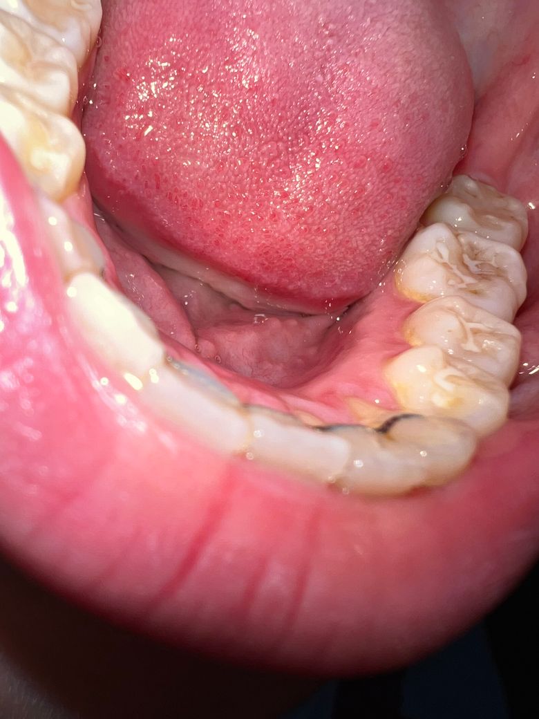
하악 어금니 갈색, 씹는면 충치인가요?

왼쪽 하악 씹는면의 치아가 어느순간부터 시리기 시작했는데요. 1년전 해당 증상이 생겼을때 충치가 없다고 했고, 가장 마지막으로 검진받은 6개월 전에도 별 문제 없다고 넘어갔는데 오늘 보니 충치같이 생긴 것 같아서요.

최근엔 시린 증상이 아예 없습니다.

  • 1번 째 사진

4개의 답변이 있어요!

  • 김지훈 치과의사

    김지훈 치과의사

    메가

    안녕하세요. 김지훈 치과의사입니다.

    현재 사진상으로는 충치보다는 변색일 가능성이 높아보이고 치료받은지 오래되어 그런 것 같습니다.

  • 안녕하세요. 김철진 치과의사입니다.

    치아에 치석도 많이 껴잇고 잇몸에 염증이 있어서 그럴수도 잇으니 치과에 가셔서 스켈링 및 잇몸치료를 받아보시는게 좋을것같습니다.

  • 안녕하세요. 안상우 치과의사입니다.

    사진으로 봤을 경우에는 큰 충치가 보이지는 않습니다. 하지만 내부에 충치가 있을 수도 있기 때문에 치과에서 정확한 검사를 받아보는 것이 좋습니다

  • 안녕하세요. 최석민 치과의사입니다.

    충치의 양상은 아닌 것 같고 변색, 착색에 가까울 것 같습니다. 치과가서 스케일링 해보고 엑스레이 찍어보고 판단하면 될 것 같습니다.