교정치과에서 윗니만 교정장치 부착하자고 하는데 상관없을까요?
치과에서 측절치 부분교정중 윗니 6개만 부착하고 측절치를 전방으로 이동후 1~2mm아래로 치아를 빼고 모양을 반대쪽 비슷하게 평평하게 간다고 합니다
- 질문1. 측절치 아랫니 쪽도 설측으로 이동해야하는거 아니냐고 물어보니 치열이나 치궁모양이 괜찮아서 윗니만 하자고 하는데 상관없을까요?
윗 측절치만 툭튀어나오는거 아닌가 모르겠네요
치아를 아래로 빼는것도 그렇고요
- 질문2.측절치 전방으로 약간이동하면 그만큼 치아사이 공간생길까요?
- 질문3. 가장궁금한건데요 측절치 위아래가 부딪혓었는데요 제가 느끼기에 치아 다물었을때 측절치가 틀어주는걸 막아주는 느낌 브레이크 느낌이었는데 윗니 측절치를 앞으로 이동하면 윗니가 《이동하고 아래닛니가 》 이동한느낌이 들면서 중심선이 더 틀어져보일수 있을까요?
정면치아 모습
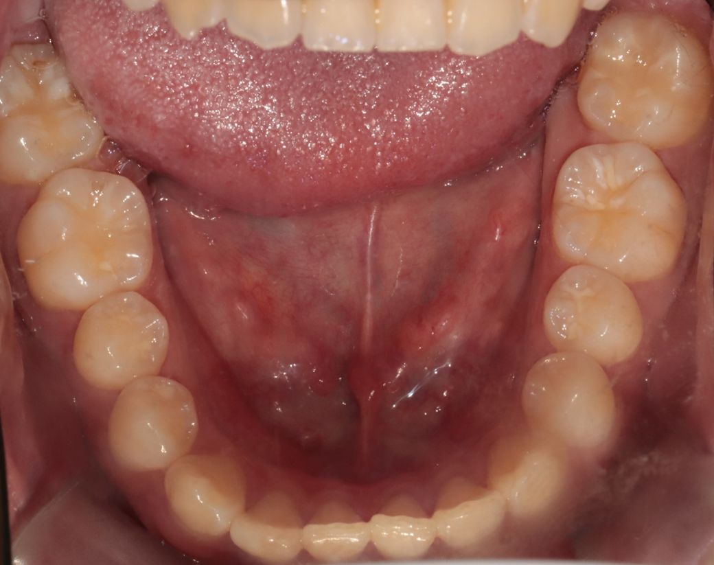
아랫앞니 치아
측면 치아모습
아랫니 치궁
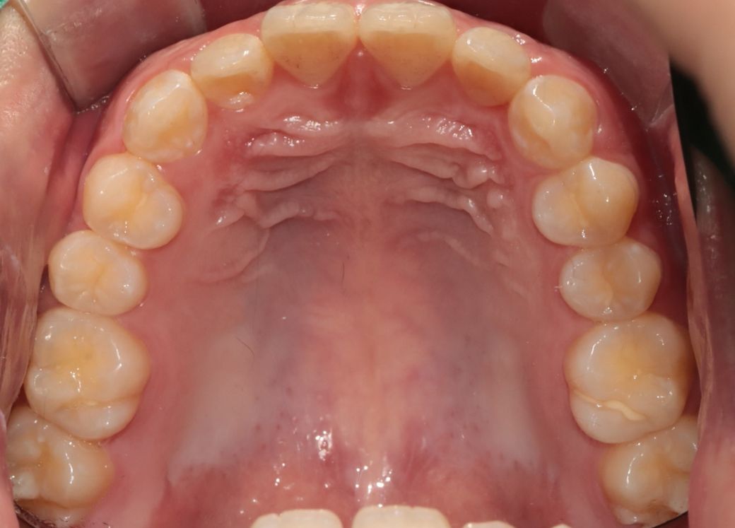
윗니 치궁
안녕하세요. 정진석 치과의사입니다.
1. 치열 배열이 전반적으로 나쁜 상황이 아닙니다. 다만 상악에서만 브라켓을 부착했을 때 엄연히 교정에는 한계가 있으며 심미적으로 이상해보일 수 있어 아래 위 모두 해야할 수도 있습니다. 하지만 이는 치료하는 선생님의 치료 방향에 따라 다를 수 있는 부분입니다.
2. 측절치를 전방으로 이동하면 공간은 확보될 수 있으나 현재 정상적인 악궁에서 심하게 벗어난다면 오히려 심미적으로 더 문제가 될 수 있습니다. 따라서 교정하기 쉽지 않아 보이며 어느정도의 절충을 하거나 심한 경우에는 발치 교정으로 넘어가야 할 수도 있으나 이는 교정과 선생님과 정확한 상담을 통해 진행하시는 것이 좋습니다.
아무쪼록 저의 답변이 문제 해결에 작게 나마 도움이 될 수 있기를 기원드립니다. 항상 건강하고, 행복하세요^^
정진석 치과의사 드림

