의료상담
55글자 더 채워주세요.
4개의 답변이 있어요!
안녕하세요. 김철진 치과의사입니다.
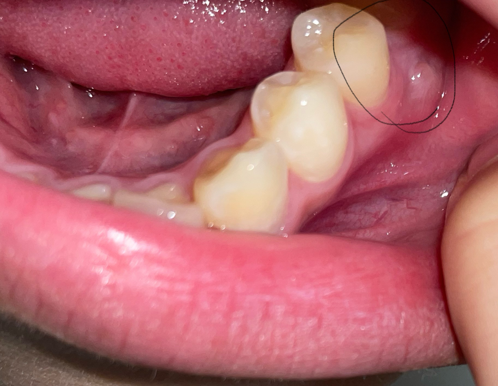
잇몸에 염증이 잇는거 같습니다. 일단 치과에 가셔서 엑스레이를 찍어보시고 잇몸치료를 받아보시는게 좋을것같습니다.
안녕하세요. 김지훈 치과의사입니다.
발치를 해야하는지는 치과에서 검사를 해보셔야 합니다. 농은 잇몸의 원인인지 치아 원인인지에 따라 치료방식이 다릅니다
안녕하세요. 송우식 치과의사입니다.
현재 치주낭종증상으로 보이며, 양치를 잘하지 않거나 스케일링을 받은지 오래된 경우 치석이 잇몸을 자극하여 염증반응이 나타난 것입니다. 이 경우 우선적으로 스케일링 및 잇몸치료가 필요로 되기에 치과 진료를 받길 권합니다.
궁금증 해소에 도움이 되시길 바라며, 도움이 되신 경우 '추천' 부탁드립니다.
안녕하세요. 최석민 치과의사입니다.
잇몸 속 농양이 있는 상태가 맞습니다 치아에서 비롯된 염증이라면 원인치를 찾고 신경치료를 진행합니다 잇몸에서 비롯된 염증이라면 잇몸치료를 해줍니다
장도연이 추천하는 아하!
앱으로 편리하게 사용해 보세요.