아핫뉴스실시간 인기검색어
아핫뉴스 화산 이미지
화산 아이콘 11
비트코인 펀드와 분실 사건
아하

의료상담

치과

잘생긴키위81
잘생긴키위81

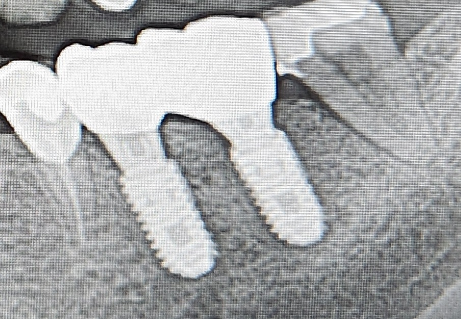
임플란트 두개를 연결해서 크라운 하는게 보편적인가요?

연결한 가운데 사이에 음식도 들러붙고 통증도 있네요 차라리 뚤려있으면 관리가 잘 될것 같기도 하고..각각 하나씩 연결했음 하는 아쉬움이 남는데 이렇게 연결하는게 튼튼하고 당연한거라고 하니 할말이 없네요.그리고 음식물 씹을때 통증이 있는데 적응하느라 그런걸까요ㅠ



  • 1번 째 사진
2개의 답변이 있어요!
  • 안녕하세요. 김철진 치과의사입니다.

    일반적으로 임플란트는 묶어서 보철물을 만듭니다. 사진상으로 보면 임플란트 보다 임플란트 뒤쪽치아가 안좋아 보이네요. 가셔서 검진을 받아보세요.

    1명 평가
  • 탈퇴한 사용자
    탈퇴한 사용자

    안녕하세요. 장인아 치과위생사입니다.

    임플란트를 서로 묶어 연결해 힘을 분산시켜 유지력 측면에서 유리하고 저작력에 더 잘 견디기 때문에 많이 합니다..음식물 씹을때 통증은 적응되면 좋아질수 있습니다.

    도움이 되기를 바랍니다. 건강하세요.

    1명 평가