의료상담
치아 재교정을 해도 될까요?????
척추측만증이 있어서 안면비대칭으로 추나를 받고 있습니다.
턱 비대칭 정도나 비대칭의 정도가 재교정을 하는데 상관이 없을까요?
55글자 더 채워주세요.
5개의 답변이 있어요!
안녕하세요. 김지훈 치과의사입니다.
턱 비대칭 정도나 비대칭의 정도는 재교정을 하는데크게 문제가 되지 않아 상관이 없어 보입니다.1명 평가안녕하세요. 김철진 치과의사입니다.
턱관절 비대칭이 잇어서 턱고나절이 불편하다면 턱관절 치료를 먼저 하고나서 교정을 하셔야 턱관절에 무리가 가지 않을꺼에요.
1명 평가안녕하세요. 안상우 치과의사입니다.
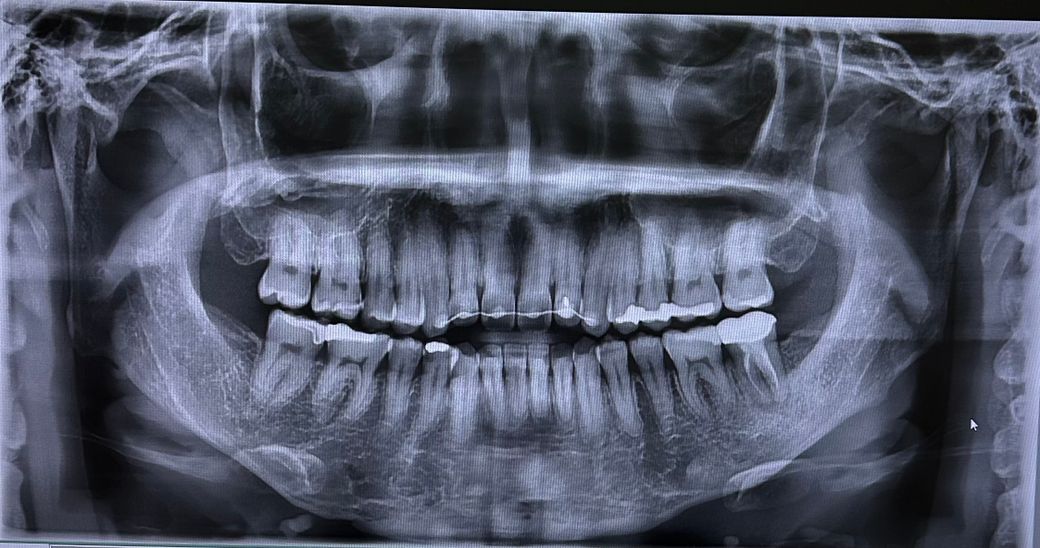
사진으로는 비댕치이나 교정여부를 확인하기 힘들어 보입니다.
자세한 확인을 위해서 교정치과에서 진료를 받아보는 것을 권유드립니다.
1명 평가안녕하세요. 송준범 치과의사입니다.
골격정 비대칭은 치아 교정만으로는 해결할 수 없고 양악수술을 통해 교정할 수 있습니다만
골격적으로나 치열로나 사진으로 보기에는 교정의 필요성이 딱히 보이지는 않습니다.
물론 해당 사진만으로 교정의 필요성을 판별하긴 어렵고 전반적인 교합 관계를 봐야 알 수 있습니다.
어떤 이유에서 재교정을 하려고 하시는지는 모르겠지만 안면비대칭의 이유로 하시는 것이라면 치아교정만으로 해결하기는 어렵습니다.
1명 평가안녕하세요. 송우식 치과의사입니다.
파노라마 사진 한장만으로는 단정하기 어렵지만 본인이 재교정 원하면 재교정 시도해 볼 수 있을 것으로 보입니다.

