아하
  • 토픽

  • 스파링

  • 잉크

  • 미션


의료상담

찬란한카구193

찬란한카구193

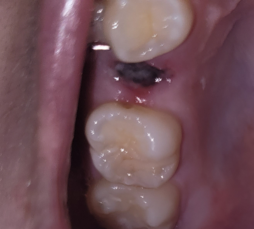
치아 발치 후 잘 아물고 있는지 확인해주실 수 있나요?

안녕하세요

상악 작은어금니 발치 후 55시간 정도 지난 상태인데 잘 아물고 있는지 확인 부탁드립니다

겉부분에 곰팡이처럼 생긴게 있는데 저게 뭔지, 안 좋은건지 궁금합니다 입을 계속 헹궈도 사라지지 않던데 건드리지 않는게 좋을까요?

습관적으로 저도 모르게 압을 많이 준거 같아서 걱정이 돼서요ㅠ




  • 1번 째 사진
  • 2번 째 사진

4개의 답변이 있어요!

  • 김지훈 치과의사

    김지훈 치과의사

    메가

    안녕하세요. 김지훈 치과의사입니다.

    하얗게 막이 생기는 것은 낫기 위한 과정입니다. 일부러 건드리지 마시고 주의사항 지켜주면 됩니다.

  • 안녕하세요. 김철진 치과의사입니다.

    사진상으로 보면 잘 아물고 있는거 같습니다. 일주일정도는 최대한 발치한곳에 자극이 가지 않도록 해주세요.

  • 안녕하세요. 안상우 치과의사입니다.

    사진으로만 봤을 경우에는 혈병을 잘 형성되고 아물고 있는 것으로 보입니다.

    발치를 한 부위를 자극하게 되면 출혈이 되고 치유가 늦어질 수 있기 때문에 발치를한 부위는 건들지 않는 것이 좋습니다.

  • 안녕하세요. 송우식 치과의사입니다.

    잘아물고 있는 것으로 보이며, 혈병이 생기고 있는 것으로 일부러 떼어나거나 하지 말고 그대로 두시면 됩니다.

    궁금증 해소에 도움이 되시길 바라며, 도움이 되신 경우 '추천' 부탁드립니다.