아핫뉴스실시간 인기검색어
아핫뉴스 화산 이미지
화산 아이콘 11
바빌론 랩스 비트코인 협력
아하

의료상담

이비인후과

떳떳한꽃무지11
떳떳한꽃무지11

혀 밑이 좀 많이 튀어나와 있는 것 같은데 정상인가요?

성별
여성
나이대
31

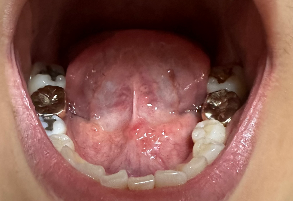
어쩌다 혀 밑을 보니 살같은게 많이 튀어나와 있는 것 같은데 제 기준으로 왼쪽이 더 부풀어 있는 것 같아서요


작년부턴가 귀밑 턱밑쪽에 묵직한 느낌이 들었고

입안도 많이 건조한 편입니다

건강검진 수치에서도 아밀라제 수치가 180정도로 높게 나왔어서


혹시 이거 관련인가 해서 여쭤봅니다ㅜㅜ


정상적인 모양인지 한번 봐주시면 감사하겠습니다.






  • 1번 째 사진
  • 2번 째 사진
  • 3번 째 사진
3개의 답변이 있어요!
  • 안녕하세요.

    특별하게 문제가 있는 상태로 보이지는 않습니다.

    정사인 구조로 생각이 됩니다.

    걱정말고 지내시는것 추천 드립니다.

  • 안녕하세요. 이영민 의사입니다.

    만일 특별한 증상이 없는 경우 골융기 등의 해부학적인 변형으로 돌기가 발생했을 가능성이 있겠으나, 간혹 드물게 설암인 경우에도 비슷한 양상으로 돌기가 발생할 수 있으므로 근처 치과에 가셔서 진료를 보시는 편이 안전할 것으로 사료됩니다.

    감사합니다.

  • 안녕하세요. 강성주 의사입니다.

    모양자체는 이상소견이 있어 보이지 않습니다.

    다만 비대칭성이 점차 심해지는 경우라면 이비인후과 진료를 받아보시는 것이 좋겠습니다.

    감사합니다.