아하
  • 토픽

  • 스파링

  • 잉크

  • 미션


의료상담

가끔기분좋은붕어빵

가끔기분좋은붕어빵

잇몸 치주낭이 8mm 정도이면 뽑아야 할까요?

잇몸 치주낭이 8mm 정도이면 뽑아야 할까요?

현재 해외에 있어서 치과 방문이 어렵고 비용도 너무 비싸서 소염진통제+타이레놀 먹고 계속 버티고 있는데 더이상 참기가 힘듭니다. 한국 가려면 2주정도 남았는데 그냥 생니라도 뽑아야 하나 싶습니다.

여기서 진단 받은 바로는 해당치아의 바깥족 잇몸에 4~5mm 정도, 설측에 8mm정도 치주낭이 있다고 하십니다.(해당 치아 외에 주변 잇몸은 문제 없음)

8미리 정도의 포켓이면 잇몸수술을 해도 뼈가 차기 어려우며 어차피 뽑게될것이라고 임플란트를 권유하시는데요, 이정도면 발치를 해야할까요? 현재 딥클리닝 하고 3주째 통증이 심해서 계속 진통제를 복용하고 있는데 통증이 줄어들지 않습니다. 한국에서 살릴수 있는 치아라면 최대한 버텨볼려고하고, 어차피 뽑아야한다면 발치라도 해외에서 하고자 합니다.

(또는 한달주기로 몇번 클리닝을 했는데도 점점 아파지는 주기와 통증이 커집니다. 혹시 잇몸 문제가 아니라 치아가 크랙일수도 있으까요?)

참고로 반복되는 통증때문에 잇몸치료를 했는데 그게 7개월 전이었습니다.

꼭 도움 부탁드립니다.

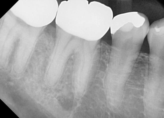
  • 1번 째 사진
  • 2번 째 사진

2개의 답변이 있어요!

  • 김철진 치과의사

    김철진 치과의사

    가까운우리치과

    안녕하세요. 김철진 치과의사입니다.

    치주낭이 8MM라면 잇몸상태가 많이 안좋은거 같긴합니다. 사진상에 보이는정도라면 일단은 잇몸 치료를 하면서 관리를 받아보시는게 좋을것같습니다.

  • 안녕하세요. 최석민 치과의사입니다.

    치아에서 특정 부위의 치주낭이 8mm 나오는 경우는 치아 뿌리 부위의 크랙을 의심해볼만합니다 엑스레이상에선 잘 안보일 수도 있습니다

    씹을때 통증, 자발통, 찬 것에 시림 등이 주요 증상입니다