안녕하세요 저희 반려견 엑스레이 사진좀 봐주세요

반려동물 종류

강아지

품종

말티즈

성별

수컷

나이 (개월)

14살

몸무게 (kg)

6

중성화 수술

1회

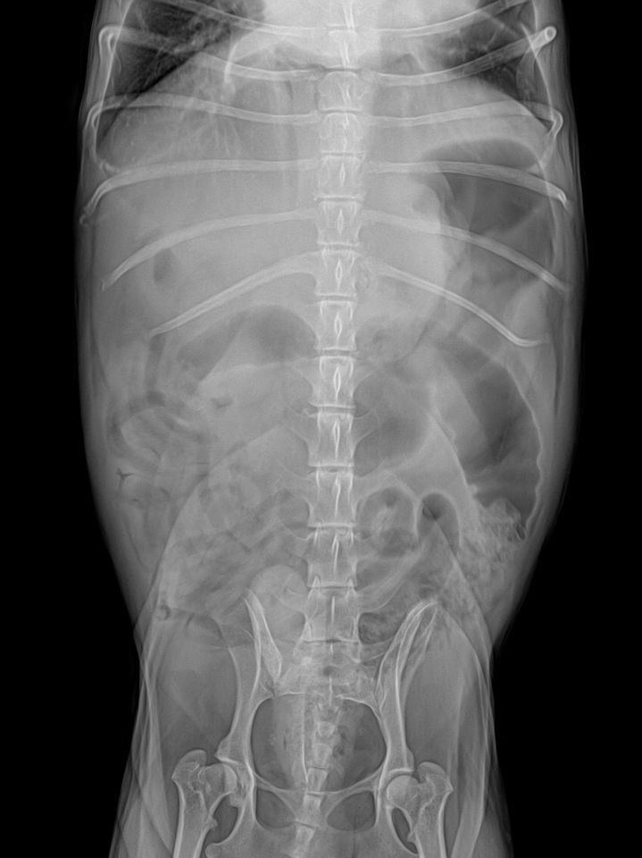
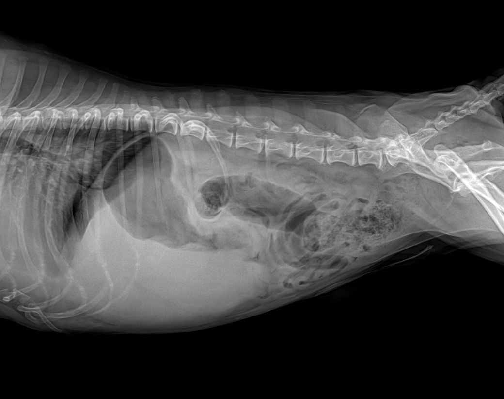
저희 강아지가 심장약 먹고있는데 많이 위험한 상태라고 입원을 권유하셔서 그러는데 많이심각한가요?? 저희 반려견이 예전에 다리 슬개골 탈구있다고 사기당한적이 있어서 솔직히 믿지를 못하겠습니다 목소리 쩌렁쩌렁하고 아침에 잘 놀고 식욕도많고 못 믿겟습니다

1개의 답변이 있어요!

  • 안녕하세요. 이은수 수의사입니다.

    예, 매우 안좋은 상태입니다.

    심장도 키기가 매우 크고, 좌심방 돌출이 있으며, 경미하지만 폐수종이 발생한 상태면서, 흉수도 보입니다.

    공격적인 치료를 하지 않으면 사망 가능성이 매우 높은 상태입니다.

    또한 간의 크기가 큰데, 종괴 양상이 보여 간암 가능성이 매우 높아 보이니 복부 초음파 검사와 심장 초음파 검사 모두 필요합니다.

    우선 주치의의 의견대로 입원처치 후 심장에 대한 공격적인 치료를 받지 않으면 죽을 수 있는 수준입니다.