의료상담
아래잇몸에 흰색 딱딱한 뭔가가 있어요
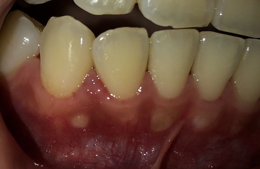
첫번째 사진은 측면이고 두번째 사진은 정면입니다!
두번째 사진에서 1번이라고 써 놓은 저 동그라미가 만지면 약간 딱딱한 느낌이들고 아프지는 않은데 뭔지 신경이 쓰여서요ㅠ 물집같은 느낌은 아니고 정말 약간 튀어나왔어요 저 동그라미가 눈에 보인건 꽤 된 것 같아요
2번이라고 쓴 부분 주위는 유난히 잇몸이 흰색으로 비쳐서 이게 잇몸이 얇아서 치아뿌리가 보이는 건지 아니면 다른 증상인지 궁금해요!
55글자 더 채워주세요.
4개의 답변이 있어요!
안녕하세요. 이성영 치과의사입니다.
잇몸이 얇은 경우에는 치아의 뿌리나 치아주의 뼈가 잇몸 밖으로 비쳐보일 수 있으나, 이는 병적인 것은 아니고 정상적인 상태입니다.
다만 사진만으로는 정확한 상태를 진단할 수 없고 스케일링을 받을겸 치과에 내원시 정확한 검사를 받는 것이 도움이 될 수 있습니다.
안녕하세요. 안상우 치과의사/경제·금융전문가입니다.
해당부위다 딱딱하다면 뼈가 튀어 나온것일 가능성이 높습니다.
외골증이라고 치아에 가해지는 힘이 강할때 반작용으로 뼈가 자라나오는 경우가 있어요.
큰 문제를 발생시키지는 않지만 확인을 위해서 치과에서 확인을 해보세요.
안녕하세요. 장인아 치과위생사입니다.
잇몸뼈가 돌출된 부분이
얇은 잇몸에 비쳐서 하얗게 보이는 것입니다.
통증이 없다면 문제가 되지는 않습니다.
도움이 되기를 바랍니다. 건강하세요.
안녕하세요. 김철진 치과의사/경제·금융전문가입니다.
사진에서 보이는 부위는 잇몸뼈입니다. 즉 잇몸뼈가 튀어나온부분에 잇몸이 얇아서 하얗게 보이는겁니다. 크게 걱정할일은 아니니 걱정하지 마세요.

