아하
  • 토픽

  • 스파링

  • 잉크

  • 미션


의료상담

보통은화사한핫도그

보통은화사한핫도그

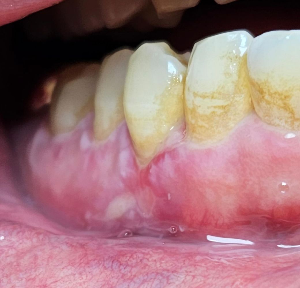
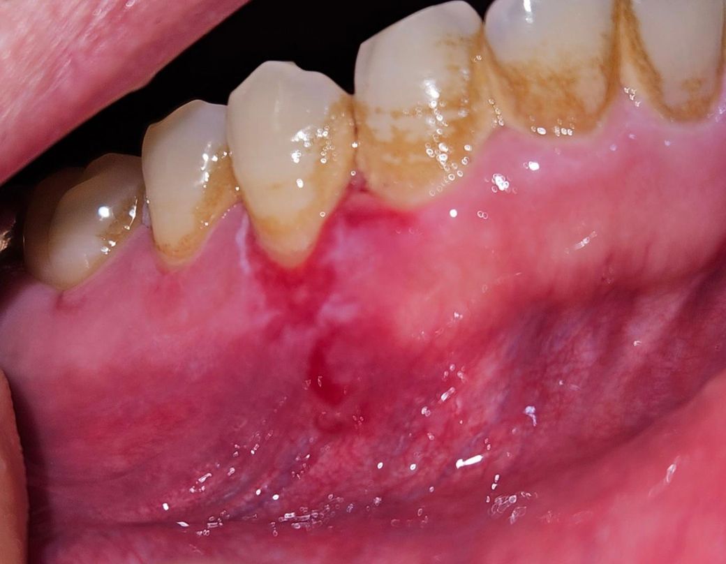
잇몸에 전반적으로 이러한 병변이 나타나고 있습니다

2개월정도 지속이 되고 있고 통증과 양치질할때 출혈이 나타나고 있습니다 치과에서는 면역력 문제라고 하는데 다른문제가 있는건 아닐까요?

  • 1번 째 사진
  • 2번 째 사진
  • 3번 째 사진

2개의 답변이 있어요!

  • 김철진 치과의사

    김철진 치과의사

    가까운우리치과

    안녕하세요. 김철진 치과의사입니다.

    구내염일수도 있지만 오랜기간동안 지속된다면 대학병원 구강내과를 가셔서 검진을 받아보시는게 좋을것같습니다.

  • 안녕하세요. 최석민 치과의사입니다.

    면역질환이나 바이러스, 세균 감염 가능성을 먼저 따져봐야 합니다 지체하지말고 구강내과 가보시기 바랍니다