아핫뉴스실시간 인기검색어
아핫뉴스 화산 이미지
화산 아이콘 11
복면가왕 가왕대전
많이 본
아하

의료상담

치과

매우존경스러운초콜릿
매우존경스러운초콜릿

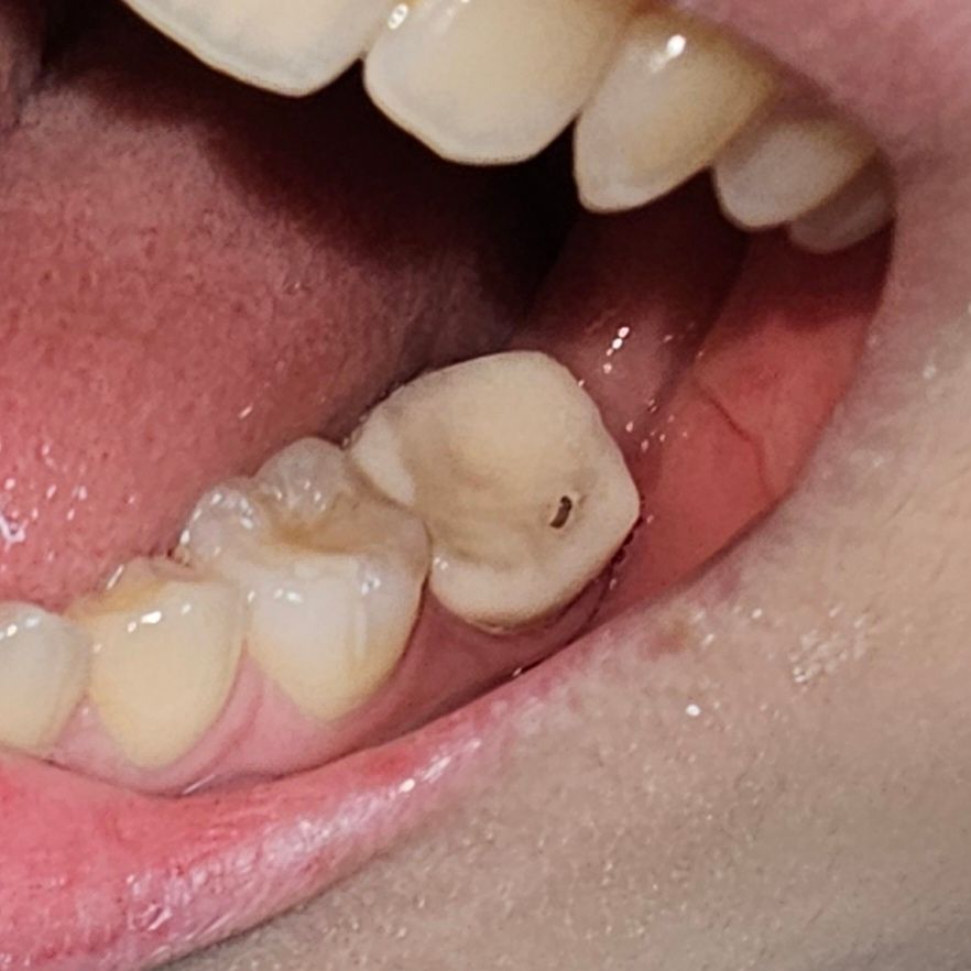
신경치료 중 임시치아에 회갈색의 작은 얼룩?

신경치료 중인데 임시치아에 사진처럼 작은 변색점이 생겼어요. 양치를 해도 안 없어지고 큰 통증이나 불편감은 없어요. 치과는 3주 뒤에 가는데 혹시 그전에 가봐야 할까요?

  • 1번 째 사진
3개의 답변이 있어요!
  • 안녕하세요. 김철진 치과의사입니다.

    임시치아에 구멍이 뚤린게 아닐까 생각됩니다. 임시치아이니 너무 걱정은 안하셔도 될것같습니다.

    1명 평가
  • 안녕하세요. 김지훈 치과의사입니다.

    사진만으로는 무엇인지 명확하진 않습니다만 임시치아이기 때문에 그냥 쓰셔도 상관 없습니다.

    1명 평가
  • 안녕하세요. 안상우 치과의사입니다.

    사진으로 보이는 것은 임시치아가 얇은부위에 구멍이 생겨서 안이 보이는 것입니다.

    나중에 보철치료를 하게 되면 정상적인 두께로 수복이 됩니다.

    1명 평가