의료상담
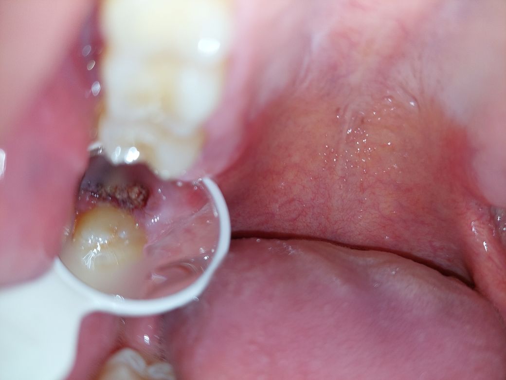
(사진 주의) 사랑니 발치 자리에 하얀 것이 보이는데, 사랑니 뿌리일까요?
안녕하세요. 오늘 사랑니 발치하고 3시간 정도 있다 발치한 곳을 확인해 보았더니, 안에 하얀 덩어리들이 있는 것을 보았습니다. 뽑는 과정에서 사랑니를 돌려서 뽑은 듯한 느낌이 들었어서 혹시나 사랑니 뿌리가 남은 것이 아닐까 걱정이 되어 질문 드립니다.
아래는 제가 찍은 사진입니다.
55글자 더 채워주세요.
4개의 답변이 있어요!
안녕하세요. 김철진 치과의사입니다.
사진상으로는 정확히 알수가 없고 엑스레이 사진을 찍어보면 뿌리가 남은건지 제대로 알수 잇습니다. 하얗게 보이는건 발치를 하고 나서 그쪽부위에 치유되는과정중에 생기는거니 크게 걱정은안하셔도 됩니다.
안녕하세요. 이정현 치과의사입니다.
사진만봐서는 정확히 어떤것인지 확인이 어렵습니다.
뿌리가 남았다면 방사선사진을 찍으면 확실히 알 수 있습니다.
혈병이 보이는것일수도 있고, 지혈제를 넣은것일수도 있습니다.
답변이 도움이 되길 바랍니다 감사합니다.
안녕하세요. 김지훈 치과의사입니다.
직접봐야 알 수 있겠지만 치아뿌리가 남아있는 것으로는 보이지 않고 사진상으로는 상피세포가 회복을 위해 생기고 있는 것으로 보입니다.
걱정하지 않으셔도 될 것 같습니다.
안녕하세요. 장인아 치과위생사입니다.
하얀색은 잇몸이 치유되는 조직인것 같습니다..염려 안해도 괜찮을것 같습니다.
하얀막은 잇몸이 치유되는 조직으로 보입니다

