의료상담
55글자 더 채워주세요.
2개의 답변이 있어요!
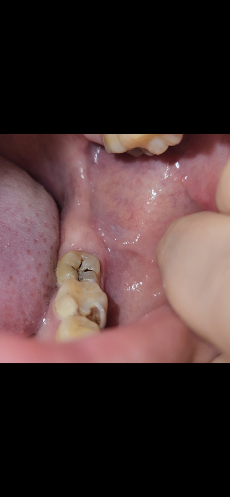
안녕하세요. 김철진 치과의사입니다.
볼살이 치아에 씹히면서 생기는 현상입니다. 크게 문제가 잇는건 아니니 걱정하지 않으셔도 됩니다.
안녕하세요. 안상우 치과의사입니다.
사진으로는 정확하게 확인 하기 힘드나 때로 불편감이 없다면 큰 문제가 없을 가능성이 높습니다.
자세한 확인을 위해서 치과에서 진료를 받아 보세요.


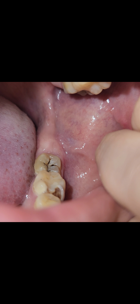
안녕하세요. 김철진 치과의사입니다.
볼살이 치아에 씹히면서 생기는 현상입니다. 크게 문제가 잇는건 아니니 걱정하지 않으셔도 됩니다.
안녕하세요. 안상우 치과의사입니다.
사진으로는 정확하게 확인 하기 힘드나 때로 불편감이 없다면 큰 문제가 없을 가능성이 높습니다.
자세한 확인을 위해서 치과에서 진료를 받아 보세요.