사랑니 발치 6일째인데 빨대사용 가능한가요?(사진첨부)
오늘로 사랑니발치 6일째인데 빨대사용가능한가요? 그리고........참지못해서 오늘 흡연을 했는데 발치부위가 조금 따끔거립니다 괜찮은건가요? 혹시 몰라 사진을 첨부 했습니다!
안녕하세요. 안상우 치과의사/경제·금융전문가입니다.
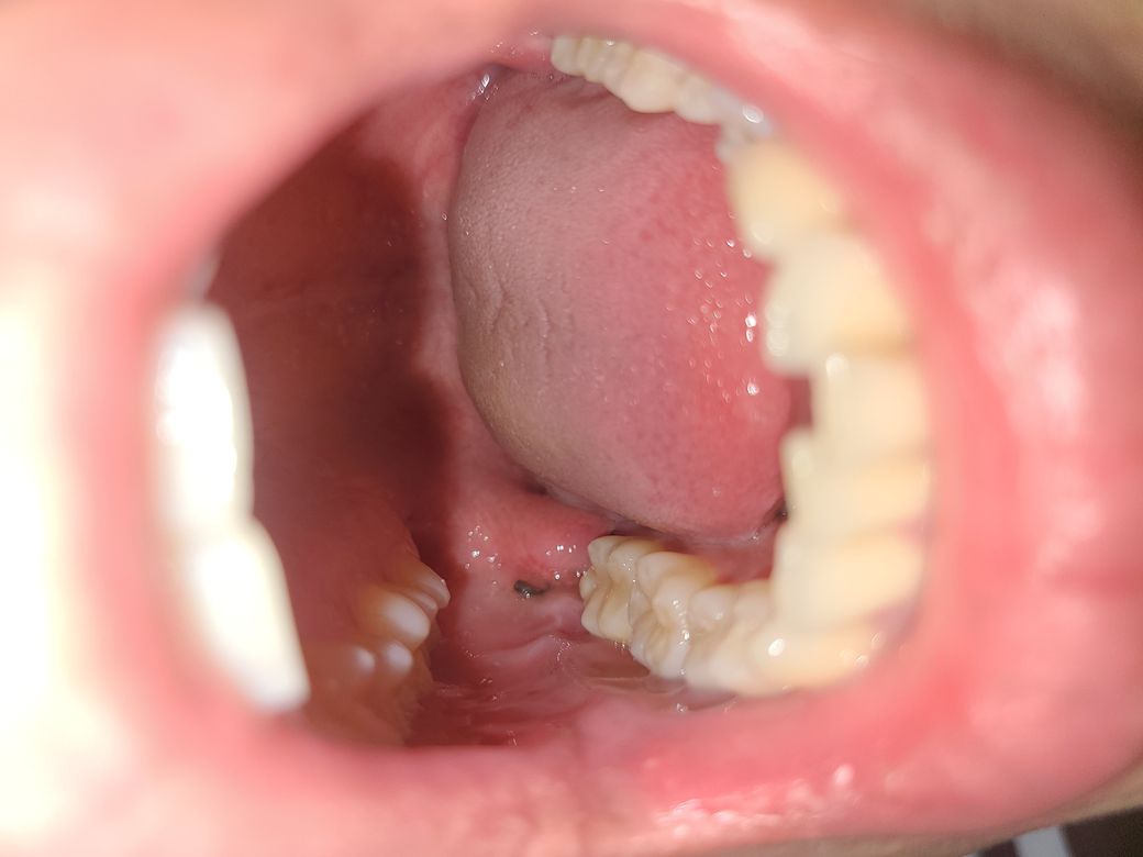
발치를 한부위에 약간의 부종이 보입니다.
잇몸에 아무는데는 2주정도의 시간이 걸리기 때문에 2주동안 흡연과 빨때 사용을 줄이는것이 좋습니다.
안녕하세요. 송우식 치과의사입니다.
발치 6일째이면 잘 아물고 있습니다. 실밥을 푸셨는지 봉합하지 확실하지 않지만 실밥도 안 보입니다.
지금부터 정상적인 식사 하셔도 됩니다. 물론 빨대 사용하여도 됩니다. 담배도 괜찮습니다.
안녕하세요. 정진석 치과의사입니다.
현재 사진으로서는 회복이 정상적으로 진행되고 있는 것으로 보여집니다.
다만 사람에 따라서 지금 시기에 흡연이나 빨대 사용을 해도 되나 대부분은 7일 이상 즉 실밥을 제거하고 난 이후 빨대 사용할 것을 권하고 있습니다.
아무쪼록 저의 답변이 문제 해결에 작게 나마 도움이 될 수 있기를 기원드립니다. 항상 건강하고, 행복하세요^^
정진석 치과의사 드림
안녕하세요. 김용균 치과의사입니다.
6일이면 더이상 피는나지 않을것 같으므로 가볍게 흡입하는 빨대 사용은 가능할것 같습니다.
하지만 흡연은 당분간 하지 않는걸 추천드립니다.
잘 아물고 있으므로 걱정하지마시고 잇솔질 잘 해주세요.
안녕하세요. 이정현 치과의사입니다.
발치부위는 우선 1차적으로 잘 아문것으로 보입니다.
흡연은 안하시면 더 좋지만, 현재시점에서는 하셔도 보통은 별 문제는 없습니다.
현재 지혈이 잘 되었다면 빨대사용은 하셔도 됩니다.
답변이 도움이 되길 바랍니다. 감사합니다.
안녕하세요. 장인아 치과위생사입니다.
일주일정도는 자극적인 음식은 피해야 합니다. 빨대 사용을 하면 안됩니다.사우나와 무리한 운동은 안합니다. 금연, 금주해야 합니다.약은 꼭 복용해야 합니다. 아프지 않다고 해서 약을 복용하지 않을 경우 통증, 부종, 염증, 내성이 생길 수 있습니다.
도움이 되기를 바랍니다. 건강하세요

