아하
  • 토픽

  • 스파링

  • 잉크

  • 미션


의료상담

잘생긴키위81

잘생긴키위81

치아 뿌리 염증이 심해진건가요?선생님들 알려주세요

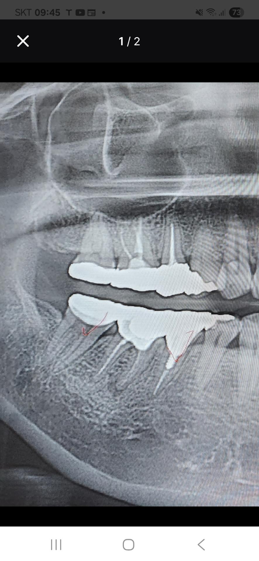
2년전부터 자주 붓는 편이고 아프거나 하진 않습니다 치근단 수술 하면 더 사용 가능한건지 궁금해서요 2년전에 크라운 교체했는데 치아내부가 좋진 않아서 재신경치료는 하지 않았고 치근단절제술을 마지막으로 해볼수 있지 않을까 하는데 붓는거 빼고는 통증은 별로 없습니다 신경치료 흔적?같은거 일수도 있다고 해서 안심했었는데 약간 커진것 같아요 그냥 둬도 될까요?

요약 정보가 없어요.

  • 1번 째 사진
  • 2번 째 사진
  • 3번 째 사진

3개의 답변이 있어요!

  • 김지훈 치과의사

    김지훈 치과의사

    메가

    안녕하세요. 김지훈 치과의사입니다.

    염증의 흔적일 수도 있으니 주기적으로 관찰해보시고 크기가 커진다면 재신경치료를 시도해봐야 합니다.

  • 안녕하세요. 김철진 치과의사입니다.

    엑스레이 상으로는 치아 뿌리끝에 염증이 더 진행되고 잇는거 같습니다. 증상이 없다면 일단은 조심히 사용하시는게 좋을것같습니다.

  • 안녕하세요. 최석민 치과의사입니다.

    쓸때까지 쓰는 것도 한가지 방법입니다 어금니라 치근단절제술이 쉽지는 않고요

    현미경 있는 치과 내지는 대학치과병원 가셔야 합니다

    염증은 있는 상태이나 팔로업이 되어야 커지는 상태인지 나아지고 있는지 체크가 됩니다