아하
  • 토픽

  • 스파링

  • 잉크

  • 미션


의료상담

가끔기분좋은붕어빵

가끔기분좋은붕어빵

반복되는 치통, 잇몸수술 필요한가요

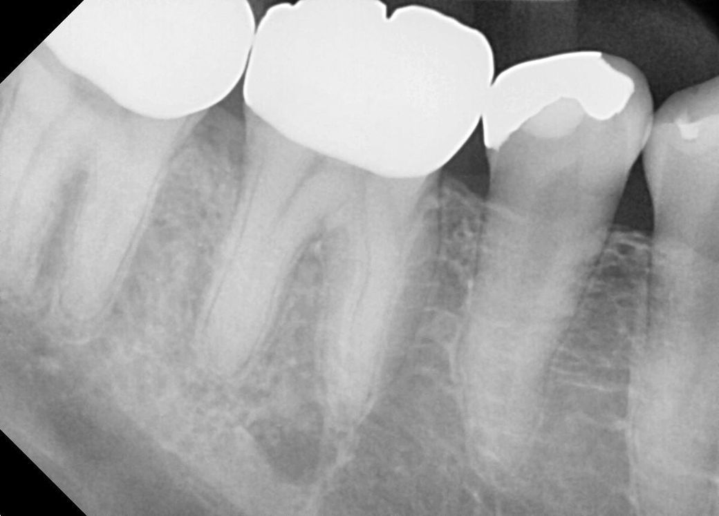
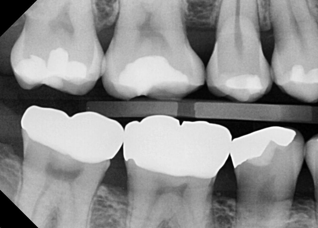
몇년전부터 오른쪽 아래에 반복적인 어금니 통증이 있었습니다. 그런데 어느 치아인지 정확하게 느낌이 오지 않았고 치과에서도 치아 자체에는 큰 문제는 없다 하셨습니다. 그런데 스케일링만 하면 통증이 사라졌었는데요, 최근에는 스케일링하고도 통증이 다시 돌아오는 주기가 점점 빨라지기 시작했습니다. 몇년전에는 스케일링을 한번 하면 3~6개월까지는 괜찮았는데, 지금은 스케일링 하고 나서 1~2개월 이후에 다시 아프기 시작합니다. 가까운 치과에서 씨티 촬영하니 오른쪽 아래 어금니에 뼈가 많이 녹아있다는걸 발견해 주셨는데요, 그게 원인인것 같다고 하시더라구요. 그부분에 하루에 한번씩 치간칫솔을(헥사메딘 묻혀서) 넣었다 뺏다해서 닦아주면서 관리해주라고 하십니다. 이게 적절한 방법인가요?

그리고 이렇게 하는데도 한달정도 지나니 치아가 다시 너무 아픕니다.

뼈가 녹아서 생긴 이 치주낭을 매꿀수 있는지 몇군데 문의를 해보았는데 한군데는 잇몸수술로 가능할것 같다고 답변주셨습니다. 제가 이해한 잇몸 수술은 잇몸을 절개한 후 열어서 치아 뿌리쪽을 깨끗하게 청소하고 다시 봉합하는것인데, 이렇게 한다고 치주낭이 사라지나요? 다시 봉합하면 치주낭은 그대로 있는것 아닌지요? 아니면 잇몸 수술을 통해 잇몸 모양을 바꾸는 것인가요?


그리고 제 케이스의 경우네 엠도게인을 통해 소실된 뼈를 복구할수 있을지요?

더하여, 현재 페니실린계 항생제를 가지고 있는데 5일치를 복용하면 통증 관리에 도움이 될까요?

반복되는 치통에 거의 5년째 고생하고 있는데 전문가님들의 도움을 요청드립니다.

현재 해외에 있어 치료비가 너무 비싸서.. 이렇게 인터넷으로 먼저 의견을 듣고자 합니다.

참고하실수 있도록 최근에 촬영한 문제가 되는 부위의 CT와 X레이사진 첨부합니다.

도움 주심에 정말 감사드립니다.

  • 1번 째 사진
  • 2번 째 사진
  • 3번 째 사진

2개의 답변이 있어요!

  • 김철진 치과의사

    김철진 치과의사

    가까운우리치과

    안녕하세요. 김철진 치과의사입니다.

    잇몸수술의 경우는 잇몸을 절개를 하고 염증이 잇는 부위를 긁어 내고 항생제를 도포해서 잇몸치료를 하는겁니다

  • 안녕하세요. 안상우 치과의사입니다.

    치조골이 손상되는 원인은 여러가지가 있습니다. 치석등의 염증물질에 의해서 손상이 될수 있습니다. 이런경우 잇몸치료나 잇몸수술을 하게 되면 손상되는 치조골을 방지할수 있습니다.

    치아뿌리에 금이갔거나 해서 생기는 치조골 손실이나 치수염은 신경치료가 필요할수 있습니다.

    치아의 뿌리에 금이갔을 경우 발치를 해야 하는상황이 발생할수도 있습니다.

    자세한 확인을 위해서 치과에서 진료를 받아보는 것을 권유드립니다.