아하
  • 토픽

  • 스파링

  • 잉크

  • 미션


의료상담

까칠한종다리175

까칠한종다리175

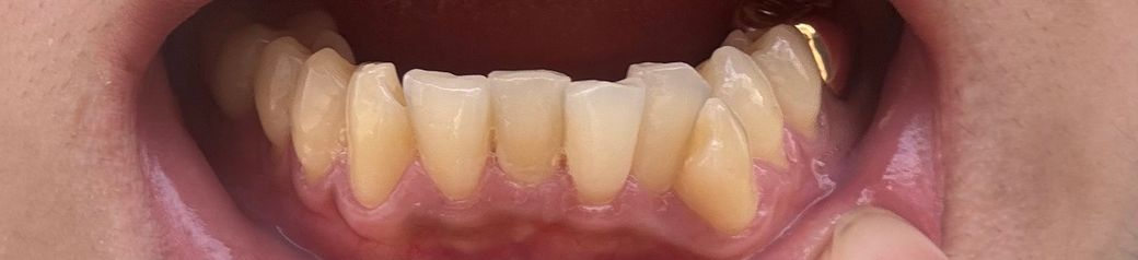
잇몸퇴축이 많이 심할까요? 부정교합으로 인한 교정을 하면 더 심해지는지도 궁금합니다

앞니가 부서져 병원에 방문했는데 치주염이 심해 치아뿌리가 드러나있다고 하네요 그리고 교정도 권하는데 교정하면 잇몸이 더 안좋아질까봐 많은 고민이 있습니다

  • 1번 째 사진
  • 2번 째 사진
  • 3번 째 사진

3개의 답변이 있어요!

  • 안상우 치과의사

    안상우 치과의사

    목동안치과의원

    안녕하세요. 안상우 치과의사입니다.

    잇몸은 치아의 위치에 따라서 만들어지게 됩니다 사진을 봤을 경우에는 잇몸높이는 많이 내려간것으로 보이지는 않습니다.

  • 안녕하세요. 김철진 치과의사입니다.

    교정을 한다고 해서 잇몸이안좋아 지는건 아니지만 잇몸 상태가좋지 않다면 교정시 관리를 더 잘하셔야됩니다.

  • 안녕하세요. 최석민 치과의사입니다.

    잇몸 퇴축이 심한 편은 아닙니다. 다만 잇몸에 염증이 있어 부종은 있는 편입니다.

    교정 시 잇몸이 안좋아질 수 있는 것 맞고, 관리를 잘해주어야 합니다.