아핫뉴스실시간 인기검색어
아핫뉴스 화산 이미지
화산 아이콘 11
황하나 경찰 체포
아하

의료상담

이비인후과

건강염려증이있는사나이
건강염려증이있는사나이

이비인후과선생님도와주세요.칸디다증

성별
남성
나이대
24
복용중인 약
클래나정.소염진통재.해열제

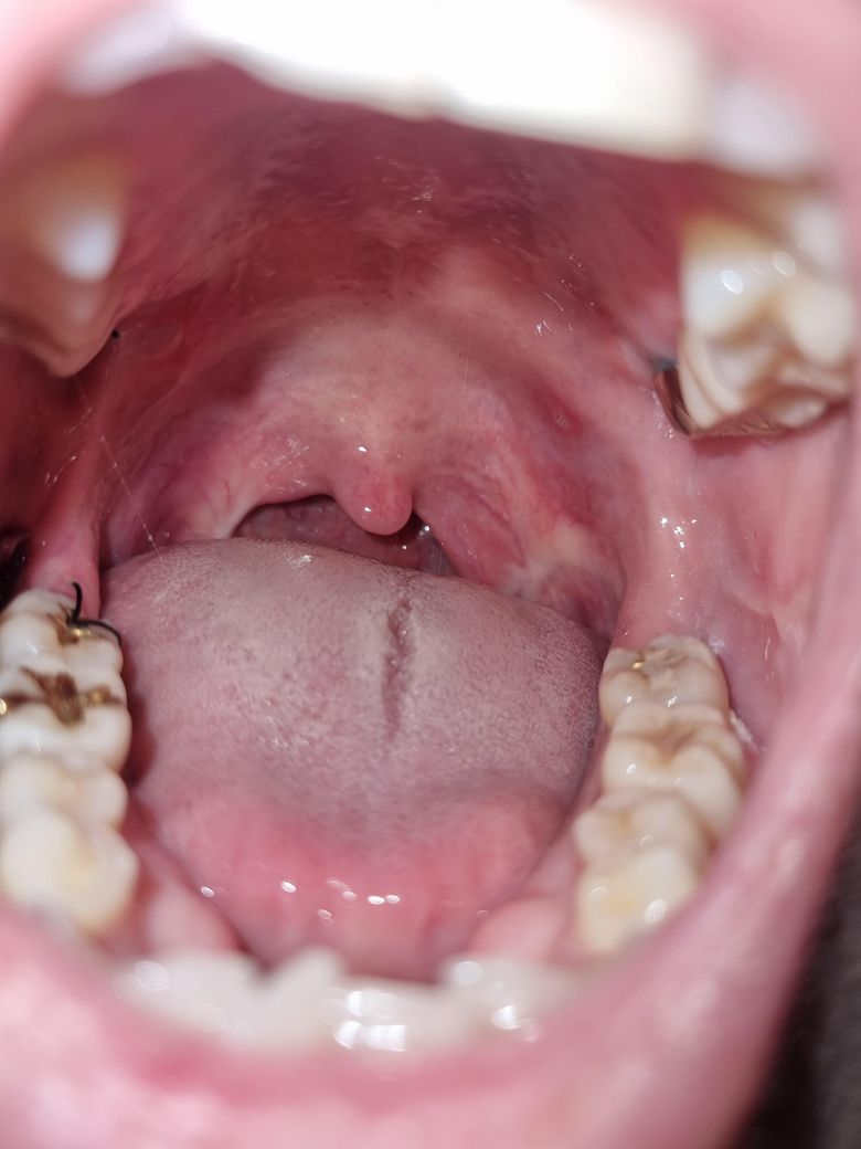
요즘 사랑니뽑고. 목에염증도생겨서 항생제를 조금많이먹었는데요.

몇일전부터 입천장에구내염이생겼고 입이건조하고 텁텁하네요 . 사진상으로봤을때 칸디다증인가요?

  • 1번 째 사진
1개의 답변이 있어요!
  • 안녕하세요. 김수비 의사입니다.

    사진으로는 정확한 진단 불가능하며 병원 방문하셔서 직접 육안으로 진료 보셔야 합니다

    칸디다증을 의심할 정도는 아닌 듯 한데 정확한건 진료 봐 보셔야 해요

    사랑니를 뽑고 항생제를 사용한 후 구내염과 입 건조, 텁텁한 느낌이 발생하는 것은 칸디다증을 포함한 여러 원인으로 발생할 수 있습니다. 항생제를 많이 사용하면 장내 유익균이 줄어들어 곰팡이균인 칸디다균이 과다 증식할 수 있고, 이로 인해 입안에 하얗고 부드러운 병변이 생길 수는 있죠. 칸디다증은 일반적으로 입안의 하얀 점막 위에 표면적으로 나타나는 경우가 많지만, 구내염과 입 건조는 칸디다 외에도 다른 원인으로 발생할 수 있습니다.

    우선 구강 위생을 관리하고 수분을 자주 섭취하는 것이 중요합니다. 만약 증상이 지속되거나 칸디다증을 의심할 수 있는 하얀 병변이 계속된다면 이비인후과나 구강내과를 방문하여 정확한 진단과 치료를 받는 것이 좋습니다.

    1명 평가