아하
  • 토픽

  • 스파링

  • 잉크

  • 미션


의료상담

무조건나아가는곰

무조건나아가는곰

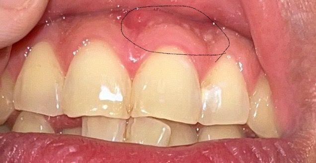
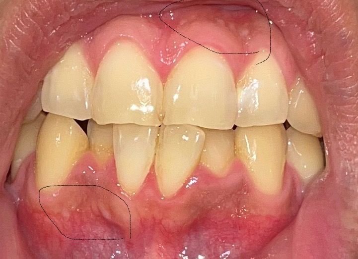
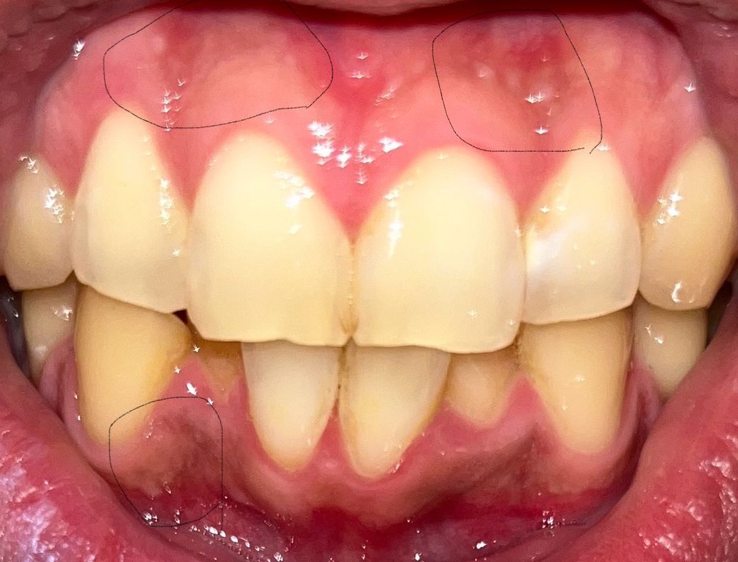
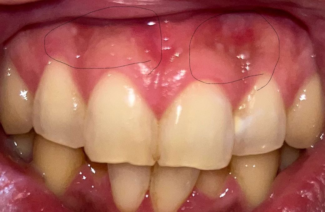
잇몸에 하얀 물집? 수포? 비슷한게 생겼는데 뭘까요?

어느날 보니까 사진처럼 앞니 위쪽 잇몸이랑 아랫니 아래쪽 잇몸에 하얀샥 물집? 수포? 비슷한게 생겼어요

언제부터 생겼는지는 모르겠고 만졌을때 오돌토돌하고 통증은 전혀 없어요

치과 가기 전에 먼저 여쭤봅니다

  • 1번 째 사진
  • 2번 째 사진
  • 3번 째 사진
  • 4번 째 사진
  • 5번 째 사진

3개의 답변이 있어요!

  • 안상우 치과의사

    안상우 치과의사

    목동안치과의원

    안녕하세요. 안상우 치과의사입니다.

    사진으로 보이는 것은 정상적인 잇몸 조직으로 보입니다. 크게 문제가 되진 않을 것으로 보고이나 걱정이 되신다면 치과에서 진료를 받아보는 것을 권유 드립니다.

  • 안녕하세요. 김철진 치과의사입니다.

    단순 구내염인거 같습니다. 큰 문제가 잇는건 아닌거 같으니 걱정은 안하셔도 될것같습니다.

  • 안녕하세요. 최석민 치과의사입니다.

    다발성 수포의 경우 단순 구내염이 아니라 바이러스나 세균, 진균 등의 감염 문제일 수도 있습니다. 치과에서 조직검사가 필요할 수도 있겠습니다.