아하
  • 토픽

  • 스파링

  • 잉크

  • 미션


의료상담

날씬한하마135

날씬한하마135

상악 매복 사랑니 뽑는 편이 좋을까요?

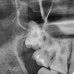
깊이 박혀 있는 상악 매복 발치가 축농증 위험이 있다고 들어서 망설여집니다. 최근 들어서 종종 통증 있고 신경 쓰이는 정도라 뽑고 싶기는 한데 많이 위험할까요? 안 뽑고 놔두면 염증이 생기거나 옆 치아가 상하진 않을지 궁금합니다. 꼭 뽑아야 하는지, 뽑는다면 얼마나 고난이도일지 여쭤봅니다!

  • 1번 째 사진

4개의 답변이 있어요!

  • 안상우 치과의사

    안상우 치과의사

    목동안치과의원

    안녕하세요. 안상우 치과의사입니다.

    사랑니가 매복되어 있고 별다른 문제를 발생시키지 않는다면 발치를 하지 않아도 됩니다.

    사진으로만 봤을 경우에는 사랑니 주변에 상악동에는 큰 문제가 있는 것으로 보이지는 않습니다.

    치아가 축농증을 유발하고 있다면 발치를 하는 것이 좋을 수 있지만 그렇지 않다면 그냥 가지고 오셔도 크게 문제가 되지 않습니다.

    자세한 확인을 위해서 치과에서 진료를 받아 보세요.

  • 안녕하세요. 김지훈 치과의사입니다.

    통증이 있고 신경이 쓰이는 경우라면 발치하시는 게 좋습니다. 부작용이 생길 수는 있지만 크게 어려운 것은 아닙니다.

  • 안녕하세요. 김철진 치과의사입니다.

    상악은 크게 어렵진 않습니다. 완전히 깊히 잇는 매복치가 아니라면 상악 뼈는 단단하지 않아서 쉽게 발치가 가능합니다.

  • 안녕하세요. 최석민 치과의사입니다.

    상악동이라는 위턱에 있는 공간을 침범해 있는 사랑니의 경우 발치 중 천공이 일어나고 축농증이나 상악동 염증으로 이어질 가능성도 있긴 합니다. 발치 후에는 출혈을 막고 최대한 빨리 치유가 될 수 있도록 콜라겐 덩어리를 삽입하는 것이 축농증 방지에도 도움이 됩니다