아핫뉴스실시간 인기검색어
아핫뉴스 화산 이미지
아하

의료상담

신경과·신경외과

세심한후루티14
세심한후루티14

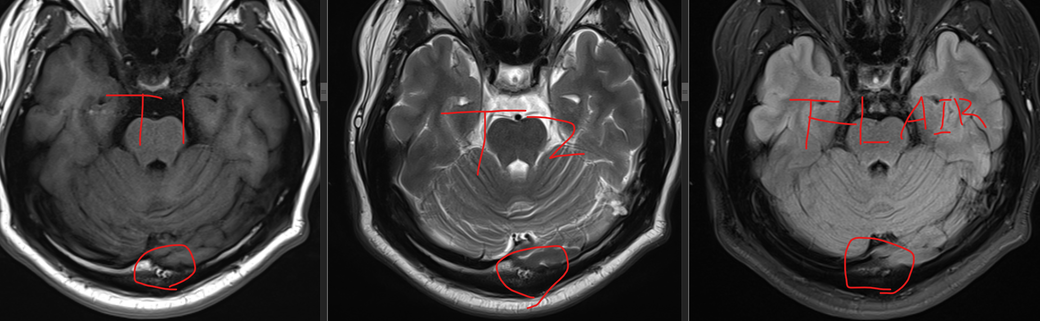
MRI T1 T2 FLAIR 영상입니다 이게 뭘까요?

성별
남성

순서대로 T1 T2 FLAIR입니다

T1에서 밝고 T2에서 덜 밝으면 지방 아닌가요?

FLAIR에서는 지방이 안보이나요?

병원에서는 판독지에 해당 내용이 없고

신경과 선생님은 증상과 별 상관 없을거라고 넘어가셔서

뭔지 궁금해서 올립니다

  • 1번 째 사진
55글자 더 채워주세요.
1개의 답변이 있어요!
  • 안녕하세요 아하(Aha) 의료, 코로나 카테고리에서 활동중인 전문의입니다.

    후두부에 위치하는 음영으로 임상적으로 큰 의미 없는 영상소견으로 보입니다.

    참조하시어 도움이 되기를 바랍니다.

     

PC용 아하 앱 설치 권유 팝업 이미지장도연이 추천하는 아하! 앱으로 편리하게 사용해 보세요.
starbucks
앱 설치하고 미션 완료하면 커피 기프티콘을 드려요!