의료상담
55글자 더 채워주세요.
6개의 답변이 있어요!
안녕하세요. 송우식 치과의사입니다.
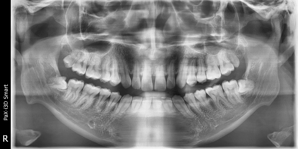
현재 사랑니에 충치가 발생한 것으로 보이며, 이 경우 사랑니를 발치하길 권합니다. 따라서 정확한 상태 확인을 위해 치과 진료를 받길 권합니다.
궁금증 해소에 도움이 되시길 바라며, 도움이 되신 경우 '추천' 부탁드립니다.
안녕하세요. 김지훈 치과의사입니다.
사랑니가 잇몸 밖으로 튀어나오면서 생긴 것으로 보이며 사랑니가 좋지 않으니 발치 하는 게 좋겠습니다.
안녕하세요. 정경호 치과의사입니다.
부분 맹출된 사랑니에 음식물이 자주 끼고 구강위생관리가 되지 않아 충치가 생긴 것으로 보입니다. 가끔 통증을 일으키는 것은 사랑니 치아머리 주위의 잇몸에서 염증이 발생하는 치관주위염 때문일 수 있습니다. 치과에서 검진받으시고 사랑니 발치하는 것을 권유드립니다.
안녕하세요. 김철진 치과의사입니다.
사랑니가 잇는부분에 사랑니가 일부분만 노출되서 그부위에 음식물이 꼇거나 염증이 생겻을 가능성이 높아 보입니다.
안녕하세요. 최석민 치과의사입니다.
방사선 사진상 사랑니가 충치가 생긴 것 같지는 않으나 해당 부위 사랑니의 부분 매복으로 인해 잇몸이 벌어져 있고 잇몸도 부어있는 상태입니다.
부분 매복 사랑니는 향후 문제를 일으킬 여지가 많으므로 예방적으로 발치를 권합니다.
안녕하세요. 안상우 치과의사입니다.
사진으로 봤을 경우에는 사랑니가 부분적으로 맹출되고 있는 것으로 보입니다. 사랑니가 기울어져 나있을 경우 해당 부위에 이물질이 끼게 되어 주변 조직에 염증이나 충치를 일으켜 발치를 해주는 것이 좋을 수 있습니다.

